Skip to main content
Home
Menu

Search Cooper


Popular Terms and Topics

  • Internal Medicine Residency
  • Surgical Critical Care Fellowship
  • Gastroenterology Fellowship
  • Neurology Residency
  • Cooper Research
Breadcrumb
Home  /   Med Ed Blogs
EM Daily

Feed Me!: Early Enteral Nutrition in Acute Pancreatitis

November 18 2016
Background: Historically the belief was that the pancreas
Neonatal Vomiting is Not Always Reflux!
EM Daily

Neonatal Vomiting is Not Always Reflux!

November 17 2016
Neonatal Vomiting is Not Always Reflux!
EM Daily

Neonatal Vomiting is Not Always Reflux!

November 17 2016
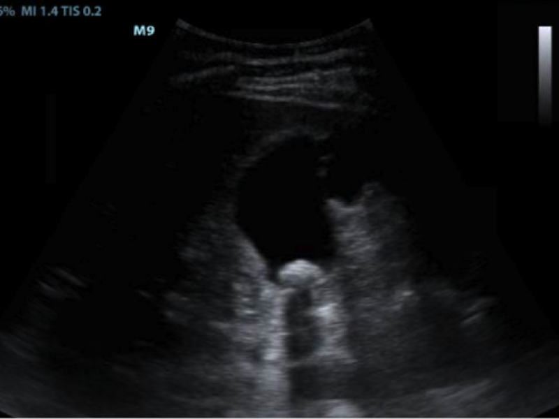
Imaging Case: Woman with Abdominal Pain
EM Daily

Imaging Case: Woman with Abdominal Pain

November 16 2016
Case : A 42 year old female patient with a past medical
EM Daily

Imaging Case: Woman with Abdominal Pain

November 16 2016
Case : A 42 year old female patient with a past medical
EM Daily

Respiratory Failure: Indications for ECMO

November 15 2016
Extracorpreal membrane oxygenation is a temporizing
EM Daily

Respiratory Failure: Indications for ECMO

November 15 2016
Extracorpreal membrane oxygenation is a temporizing
EM Daily

The 5-Minute Consult on Variceal Bleeding

November 14 2016
25-35% of patients with chronic liver disease will
EM Daily

The 5-Minute Consult on Variceal Bleeding

November 14 2016
25-35% of patients with chronic liver disease will
EM Daily

A Week in Review: Nov 7th-Nov 12th

November 13 2016
Use the anterior drawer test to assess for a torn ATFL. Use
  • First page
  • Previous page
  • …
  • Page 302
  • Page 303
  • Current page 304
  • Page 305
  • Page 306
  • …
  • Next page
  • Last page
Blogs

Hospital Main Number

856.342.2000

Main Hospital Website

COOPERHEALTH.ORG

Cooper Health

Programs

  • Residencies
  • Fellowships
  • Nursing Education
  • Allied Health
  • CME
  • Life Support Training

More from Cooper

  • Research
  • Resident Wellness
  • Medical School
  • Our Campus
  • Main Hospital
  • Privacy Statement
  • FastCommand

1.800.8.COOPER (1.800.826.6737)

Contact Us

Cooper University Health Care's Main Website

This website is for informational purposes only and not intended as medical advice or a substitute for a consultation with a professional healthcare provider.

All content © 2022 Cooper University Health Care.

Menu
Education Home
Health System Home
Search

Main Navigation

  • RESIDENCIES
  • FELLOWSHIPS
  • NURSING AT COOPER
  • RESEARCH
  • INNOVATION CENTER

Tired of Typing? Let's Talk.

Call 1.800.8.COOPER to speak with a Cooper representative who can answer your questions, schedule appointments and register you for classes, events and support groups.

Representatives are available Monday through Friday from 8 a.m. - 5 p.m. to assist you.

Enter your phone number below and we will connect you for free.