EM Daily Basics of PRESSORS, one bite at a time January 24 2022 PRESSORS: Dr. Laura Di Taranti Part 1: About norepinephrine
EM Daily Critically Appraised Topic: How can high sensitivity troponin testing be used in the setting of chronic renal disease to diagnose ACS? January 20 2022 Study #1: This was a retrospective cohort study that
Connect the Docs Green Team - Tip of the Week January 19 2022 If you install low-flow showerheads, you can save 0.2 tons
EM Daily Board Review: Potpourri January 14 2022 A 56 year old male presents to your ED in respiratory
Connect the Docs Call for Submissions January 14 2022 Call for submissions: Spring 2022 Center for Humanism
EM Daily Critically Appraised Topic: Is spirometry a safe and reliable measure for predicting complications and hospital length of stay in patients with rib fractures? January 13 2022 Study #1: This was a prospective observational study of
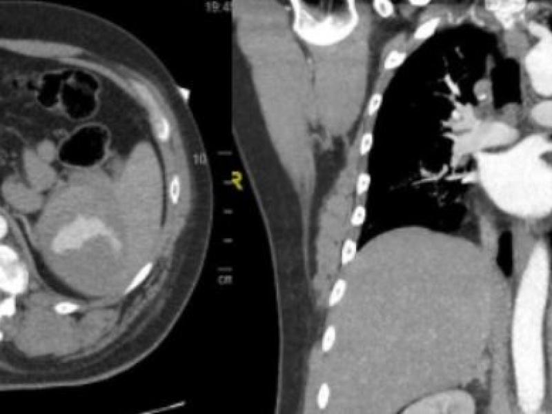
EM Daily What's the Diagnosis? By Dr. Abby Renko January 12 2022 A 47 yo M presents to the ED after being struck by a vehicle
Connect the Docs Important reminder about personal protection equipment during the latest surge. January 12 2022 Important reminder about personal protection equipment
Connect the Docs Small ways to improve your life without really trying January 12 2022 Our CARE team shared some great tips from a recent article