Skip to main content
Home
Menu

Search Cooper


Popular Terms and Topics

  • Internal Medicine Residency
  • Surgical Critical Care Fellowship
  • Gastroenterology Fellowship
  • Neurology Residency
  • Cooper Research
Breadcrumb
Home  /   Med Ed Blogs
What's the Diagnosis? By Dr. Abby Renko
EM Daily

What's the Diagnosis? By Dr. Abby Renko

February 02 2022
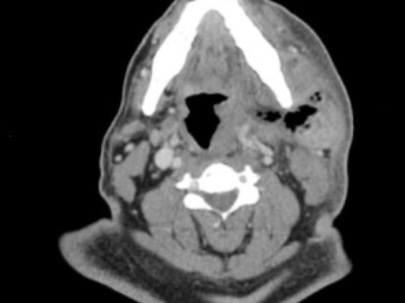
A 50 yo M presents to the ED w/ dental pain and facial
Connect the Docs

JAMA article on 10 minutes of walking

February 02 2022
There was a recently published article in JAMA that reminds
Critical Cases - Paronychia!
EM Daily

Critical Cases - Paronychia!

February 01 2022
History 26 yo female with pain, swelling of L 3rd digit over
Connect the Docs

Decluttering your email and other tech tips

January 31 2022
Thanks to all those who attended our sessions on how to
Basic of Vasopressors, Part 2: Epinephrine
EM Daily

Basic of Vasopressors, Part 2: Epinephrine

January 31 2022
About epinephrine Mechanism of action: epinephrine's
EM Daily

Board Review: Potpourri

January 28 2022
You are intubating a 68 year old male in the emergency
EM Daily

Critically Appraised Topic: Traditional Incision & Drainage vs. Loop Drainage for Cutaneous Abscesses

January 27 2022
Study #1: A prospective randomized controlled trial of
Connect the Docs

Green Team - Tip of the Week

January 26 2022
If you plant 5 trees in your yard, you can save 0.3 tons of
Connect the Docs

Improving your IT skills tonight!

January 26 2022
Improving Your Outlook: Rules of Email Engagement
EM Daily

Critical Cases: Compartment Syndrome Due to DVT!

January 25 2022
CC = RLE pain HPI 54 year old male with history of
  • First page
  • Previous page
  • …
  • Page 44
  • Page 45
  • Current page 46
  • Page 47
  • Page 48
  • …
  • Next page
  • Last page
Blogs

Hospital Main Number

856.342.2000

Main Hospital Website

COOPERHEALTH.ORG

Cooper Health

Programs

  • Residencies
  • Fellowships
  • Nursing Education
  • Allied Health
  • CME
  • Life Support Training

More from Cooper

  • Research
  • Resident Wellness
  • Medical School
  • Our Campus
  • Main Hospital
  • Privacy Statement
  • FastCommand

1.800.8.COOPER (1.800.826.6737)

Contact Us

Cooper University Health Care's Main Website

This website is for informational purposes only and not intended as medical advice or a substitute for a consultation with a professional healthcare provider.

All content © 2022 Cooper University Health Care.

Menu
Education Home
Health System Home
Search

Main Navigation

  • RESIDENCIES
  • FELLOWSHIPS
  • NURSING AT COOPER
  • RESEARCH
  • INNOVATION CENTER

Tired of Typing? Let's Talk.

Call 1.800.8.COOPER to speak with a Cooper representative who can answer your questions, schedule appointments and register you for classes, events and support groups.

Representatives are available Monday through Friday from 8 a.m. - 5 p.m. to assist you.

Enter your phone number below and we will connect you for free.