Skip to main content
Home
Menu

Search Cooper


Popular Terms and Topics

  • Internal Medicine Residency
  • Surgical Critical Care Fellowship
  • Gastroenterology Fellowship
  • Neurology Residency
  • Cooper Research
Breadcrumb
Home  /   Med Ed Blogs
Wellness Wednesday: Free Events at PAFA This Fall!
Life at the Coop

Wellness Wednesday: Free Events at PAFA This Fall!

November 03 2021
The Pennsylvania Academy for the Fine Arts is hosting a FREE
Connect the Docs

Green Team - Tip of the Week

November 03 2021
If you eliminate 1 round-trip cross-country flight per year
Connect the Docs

Panel discussion on Gratitude

November 03 2021
There will be a CME panel discussion through Physician
Connect the Docs

Drawing session at the Pennsylvania Academy of the Fine Arts

November 03 2021
The Pennsylvania Academy for the Fine Arts is hosting an
What's the diagnosis?  By Dr. Abby Renko
EM Daily

What's the diagnosis? By Dr. Abby Renko

November 03 2021
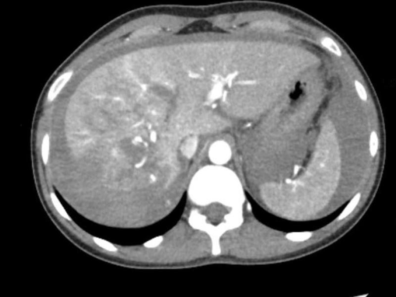
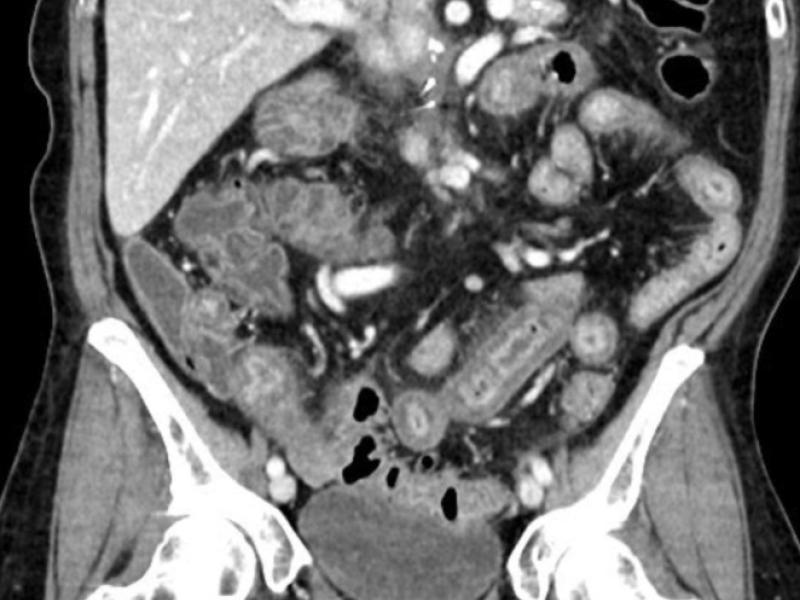
A 50 yo female with a history of pancreatic cancer, on
EM Daily

Critical Cases - Acute Encephalopathy Emergency!

November 02 2021
CC = acute confusion HPI 37 yo male acute onset of confusion
Connect the Docs

Patient Experience - Tip of the Month

November 01 2021
Giving thanks - More than just a "thank you" Provides a
EM Daily

Defining Hypertensive Crisis

November 01 2021
Defining Hypertensive Crises Dr. Sean Leary Hypertensive
EM Daily

EMConference: Thrombolytics in STEMI

October 28 2021
Fibrinolysis: In the absence of contraindications, should be
What's the Diagnosis? By Dr. Danielle Kovalsky
EM Daily

What's the Diagnosis? By Dr. Danielle Kovalsky

October 27 2021
A 28 yo F presents to the ED as an unrestrained driver in an
  • First page
  • Previous page
  • …
  • Page 53
  • Page 54
  • Current page 55
  • Page 56
  • Page 57
  • …
  • Next page
  • Last page
Blogs

Hospital Main Number

856.342.2000

Main Hospital Website

COOPERHEALTH.ORG

Cooper Health

Programs

  • Residencies
  • Fellowships
  • Nursing Education
  • Allied Health
  • CME
  • Life Support Training

More from Cooper

  • Research
  • Resident Wellness
  • Medical School
  • Our Campus
  • Main Hospital
  • Privacy Statement
  • FastCommand

1.800.8.COOPER (1.800.826.6737)

Contact Us

Cooper University Health Care's Main Website

This website is for informational purposes only and not intended as medical advice or a substitute for a consultation with a professional healthcare provider.

All content © 2022 Cooper University Health Care.

Menu
Education Home
Health System Home
Search

Main Navigation

  • RESIDENCIES
  • FELLOWSHIPS
  • NURSING AT COOPER
  • RESEARCH
  • INNOVATION CENTER

Tired of Typing? Let's Talk.

Call 1.800.8.COOPER to speak with a Cooper representative who can answer your questions, schedule appointments and register you for classes, events and support groups.

Representatives are available Monday through Friday from 8 a.m. - 5 p.m. to assist you.

Enter your phone number below and we will connect you for free.