Skip to main content
Home
Menu

Search Cooper


Popular Terms and Topics

  • Internal Medicine Residency
  • Surgical Critical Care Fellowship
  • Gastroenterology Fellowship
  • Neurology Residency
  • Cooper Research
Breadcrumb
Home  /   Med Ed Blogs
Connect the Docs

Diversity lecture series recording

October 19 2021
Below is a recording of Sandra Turner-Barnes' presentation
EM Daily

Back to Basics: Intraosseous Lines

October 18 2021
Back to Basics: Intraosseous Lines Author: Rahul Gupta, MD •
Introducing Trayless Wednesdays
Connect the Docs

Introducing Trayless Wednesdays

October 14 2021
EM Daily

Managing Hypertension in the Emergency Department

October 14 2021
Focus on the MAP: MAP is the only value measured by BP cuff
Connect the Docs

Green Team - Tip of the Week

October 13 2021
If you replace 25 miles of driving per week with taking the
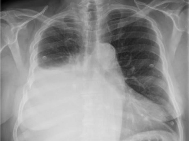
What's the Diagnosis? By Dr. Abby Renko
EM Daily

What's the Diagnosis? By Dr. Abby Renko

October 13 2021
A 64 y/o M presents to the ED after being ejected off his
EM Daily

Critical Cases - Acetaminophen Induced Methemoglobinemia!

October 12 2021
HPI 32 year old male p/w possible medication overdose Pt
Winner of New Clinician Meet and Greet story
Connect the Docs

Winner of New Clinician Meet and Greet story

October 11 2021
Congratulations to our winner for most interesting story
Connect the Docs

Tree planting in Camden

October 11 2021
Saturday morning 10/2, CMSRU students and Cooper residents
EM Daily

Back to Basics: Late Pregnancy Vaginal Bleeding

October 11 2021
Dangerous Bleeds in Late Pregnancy by Valeria Chew * OB
  • First page
  • Previous page
  • …
  • Page 55
  • Page 56
  • Current page 57
  • Page 58
  • Page 59
  • …
  • Next page
  • Last page
Blogs

Hospital Main Number

856.342.2000

Main Hospital Website

COOPERHEALTH.ORG

Cooper Health

Programs

  • Residencies
  • Fellowships
  • Nursing Education
  • Allied Health
  • CME
  • Life Support Training

More from Cooper

  • Research
  • Resident Wellness
  • Medical School
  • Our Campus
  • Main Hospital
  • Privacy Statement
  • FastCommand

1.800.8.COOPER (1.800.826.6737)

Contact Us

Cooper University Health Care's Main Website

This website is for informational purposes only and not intended as medical advice or a substitute for a consultation with a professional healthcare provider.

All content © 2022 Cooper University Health Care.

Menu
Education Home
Health System Home
Search

Main Navigation

  • RESIDENCIES
  • FELLOWSHIPS
  • NURSING AT COOPER
  • RESEARCH
  • INNOVATION CENTER

Tired of Typing? Let's Talk.

Call 1.800.8.COOPER to speak with a Cooper representative who can answer your questions, schedule appointments and register you for classes, events and support groups.

Representatives are available Monday through Friday from 8 a.m. - 5 p.m. to assist you.

Enter your phone number below and we will connect you for free.