Skip to main content
Home
Menu

Search Cooper


Popular Terms and Topics

  • Internal Medicine Residency
  • Surgical Critical Care Fellowship
  • Gastroenterology Fellowship
  • Neurology Residency
  • Cooper Research
Breadcrumb
Home  /   Med Ed Blogs
What's the Diagnosis? By Dr. Kathryn Kaminski
EM Daily

What's the Diagnosis? By Dr. Kathryn Kaminski

May 19 2021
A 17 yo F with no past medical history presents to the ED
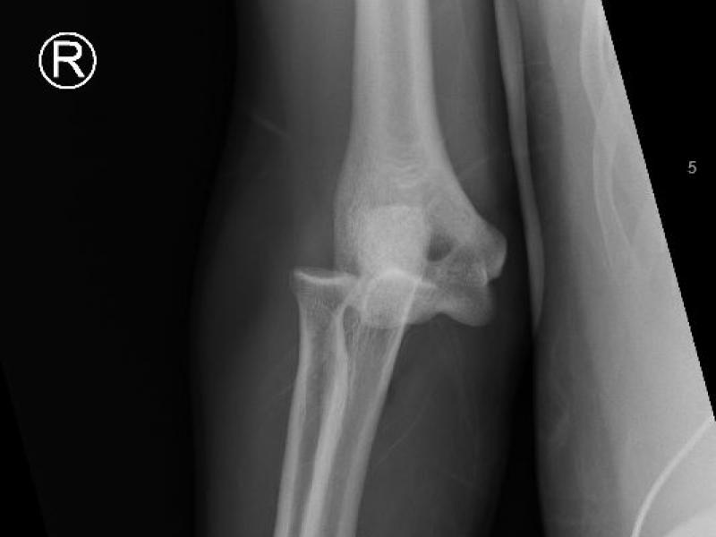
Critical Cases - Elbow Dislocation!
EM Daily

Critical Cases - Elbow Dislocation!

May 18 2021
History 21 yo male presents after ground level fall, he
EM Daily

Peptic Ulcer Disease & Gastritis

May 17 2021
Peptic Ulcer Disease - Chronic illness, recurrent ulcers in
EM Daily

Intubating the Sick Right Ventricle

May 14 2021
Do you know how to intubate the patient with a sick right
Acid Base Review
EM Daily

Acid Base Review

May 13 2021
What's the diagnosis?  By Dr. Danielle Kovalsky
EM Daily

What's the diagnosis? By Dr. Danielle Kovalsky

May 12 2021
A 37 yo male with chronic low back pain presents with
Critical Cases - Traumatic Hyphema!
EM Daily

Critical Cases - Traumatic Hyphema!

May 11 2021
History 55 year old male struck with unknown object in a bar
EM Daily

Back-to-Basics: Urinary Retention

May 10 2021
EM Daily - Acute Urinary Retention Lynn Manganiello PEARLS
Board Review: Critical Care
EM Daily

Board Review: Critical Care

May 08 2021
A 58 year old male with a history of HTN, HLD, and a 45 pack
Connect the Docs

Message from Asian Pacific American Medical Student Association

May 07 2021
Below is a message from our medical students who are part of
  • First page
  • Previous page
  • …
  • Page 69
  • Page 70
  • Current page 71
  • Page 72
  • Page 73
  • …
  • Next page
  • Last page
Blogs

Hospital Main Number

856.342.2000

Main Hospital Website

COOPERHEALTH.ORG

Cooper Health

Programs

  • Residencies
  • Fellowships
  • Nursing Education
  • Allied Health
  • CME
  • Life Support Training

More from Cooper

  • Research
  • Resident Wellness
  • Medical School
  • Our Campus
  • Main Hospital
  • Privacy Statement
  • FastCommand

1.800.8.COOPER (1.800.826.6737)

Contact Us

Cooper University Health Care's Main Website

This website is for informational purposes only and not intended as medical advice or a substitute for a consultation with a professional healthcare provider.

All content © 2022 Cooper University Health Care.

Menu
Education Home
Health System Home
Search

Main Navigation

  • RESIDENCIES
  • FELLOWSHIPS
  • NURSING AT COOPER
  • RESEARCH
  • INNOVATION CENTER

Tired of Typing? Let's Talk.

Call 1.800.8.COOPER to speak with a Cooper representative who can answer your questions, schedule appointments and register you for classes, events and support groups.

Representatives are available Monday through Friday from 8 a.m. - 5 p.m. to assist you.

Enter your phone number below and we will connect you for free.