Skip to main content
Home
Menu

Search Cooper


Popular Terms and Topics

  • Internal Medicine Residency
  • Surgical Critical Care Fellowship
  • Gastroenterology Fellowship
  • Neurology Residency
  • Cooper Research
Breadcrumb
Home  /   Med Ed Blogs
Biliary Disease
EM Daily

Biliary Disease

April 29 2021
Signs: Murphy's sign: When palpating RUQ, have patient take
What's the diagnosis?  By Dr. Patrice Baptista
EM Daily

What's the diagnosis? By Dr. Patrice Baptista

April 28 2021
A 74 yo female with a history of diabetes, hypertension
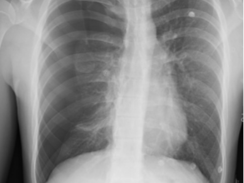
Critical Cases - Spontaneous pneumothorax!
EM Daily

Critical Cases - Spontaneous pneumothorax!

April 27 2021
History 25 yo male no medical history presents c/o pain to L
Back to Basics: Insulin in the ED (Part 2)
EM Daily

Back to Basics: Insulin in the ED (Part 2)

April 26 2021
Insulin in the ED (Part 2): Indications & Dosing By: Rachel
EM Daily

Board Review: Internal Medicine

April 24 2021
A 48-year-old female presents to the ED with generalized
Pediatric Epileptic Syndromes
EM Daily

Pediatric Epileptic Syndromes

April 22 2021
Etiology of Seizures & Epilepsy: Infants, Children: Prenatal
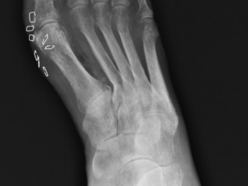
What's the Diagnosis? By Dr. Rebecca Fieles
EM Daily

What's the Diagnosis? By Dr. Rebecca Fieles

April 21 2021
24yo male with no significant PMH presents with acute onset
Wellness Wednesday: Earth Day! Linking Environmental Health and Patient Health
Life at the Coop

Wellness Wednesday: Earth Day! Linking Environmental Health and Patient Health

April 21 2021
Tomorrow is Earth Day! The health of our beautiful planet is
Connect the Docs

Earth Day - Calculating your impact

April 21 2021
April 22nd is Earth Day. The health of our beautiful planet
EM Daily

Critical Cases - Spontaneous pneumothorax!

April 20 2021
  • First page
  • Previous page
  • …
  • Page 71
  • Page 72
  • Current page 73
  • Page 74
  • Page 75
  • …
  • Next page
  • Last page
Blogs

Hospital Main Number

856.342.2000

Main Hospital Website

COOPERHEALTH.ORG

Cooper Health

Programs

  • Residencies
  • Fellowships
  • Nursing Education
  • Allied Health
  • CME
  • Life Support Training

More from Cooper

  • Research
  • Resident Wellness
  • Medical School
  • Our Campus
  • Main Hospital
  • Privacy Statement
  • FastCommand

1.800.8.COOPER (1.800.826.6737)

Contact Us

Cooper University Health Care's Main Website

This website is for informational purposes only and not intended as medical advice or a substitute for a consultation with a professional healthcare provider.

All content © 2022 Cooper University Health Care.

Menu
Education Home
Health System Home
Search

Main Navigation

  • RESIDENCIES
  • FELLOWSHIPS
  • NURSING AT COOPER
  • RESEARCH
  • INNOVATION CENTER

Tired of Typing? Let's Talk.

Call 1.800.8.COOPER to speak with a Cooper representative who can answer your questions, schedule appointments and register you for classes, events and support groups.

Representatives are available Monday through Friday from 8 a.m. - 5 p.m. to assist you.

Enter your phone number below and we will connect you for free.