Skip to main content
Home
Menu

Search Cooper


Popular Terms and Topics

  • Internal Medicine Residency
  • Surgical Critical Care Fellowship
  • Gastroenterology Fellowship
  • Neurology Residency
  • Cooper Research
Breadcrumb
Home  /   Med Ed Blogs
What's the diagnosis?  By Dr. Abby Renko
EM Daily

What's the diagnosis? By Dr. Abby Renko

April 14 2021
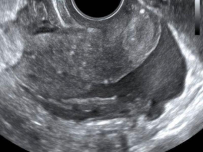
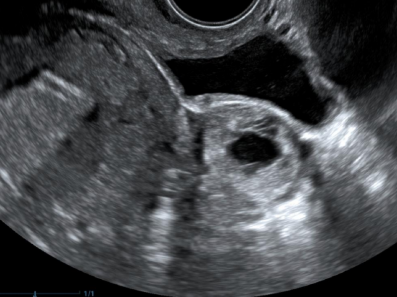
A 30 y.o. G5P3013 female at 7w6d gestation presented to the
EM Daily

Critical Cases - Alcohol Withdrawal!

April 13 2021
HPI A 53-year-old male with a history of chronic daily
Back to Basics: Swollen Joint
EM Daily

Back to Basics: Swollen Joint

April 12 2021
A Case of a Swollen, Painful Knee By: Karen O'Brien, DO The
EM Daily

Board Review: Internal Medicine

April 10 2021
62 year old female PMHx HTN and DM presents to the ED with
EM Daily

Factors associated with peri-intubation cardiac arrest

April 09 2021
A recent publication from the National Emergency Airway
Connect the Docs

National Holocaust Remembrance Day

April 08 2021
Today is National Holocaust Remembrance Day. It is an
Foot Pain Disasters
EM Daily

Foot Pain Disasters

April 08 2021
Case 1 52 yo F bilateral foot and leg pain for 1 day, worse
What's the Diagnosis? By Dr. Karen O'Brien
EM Daily

What's the Diagnosis? By Dr. Karen O'Brien

April 07 2021
A 27 yo F presents to the ED with severe RLQ abdominal pain
Wellness Wednesday: Take a Walk!
Life at the Coop

Wellness Wednesday: Take a Walk!

April 07 2021
Today is National Walking Day! It was first established in
Connect the Docs

National Walking Day

April 07 2021
Today is National Walking Day! It was first established in
  • First page
  • Previous page
  • …
  • Page 73
  • Page 74
  • Current page 75
  • Page 76
  • Page 77
  • …
  • Next page
  • Last page
Blogs

Hospital Main Number

856.342.2000

Main Hospital Website

COOPERHEALTH.ORG

Cooper Health

Programs

  • Residencies
  • Fellowships
  • Nursing Education
  • Allied Health
  • CME
  • Life Support Training

More from Cooper

  • Research
  • Resident Wellness
  • Medical School
  • Our Campus
  • Main Hospital
  • Privacy Statement
  • FastCommand

1.800.8.COOPER (1.800.826.6737)

Contact Us

Cooper University Health Care's Main Website

This website is for informational purposes only and not intended as medical advice or a substitute for a consultation with a professional healthcare provider.

All content © 2022 Cooper University Health Care.

Menu
Education Home
Health System Home
Search

Main Navigation

  • RESIDENCIES
  • FELLOWSHIPS
  • NURSING AT COOPER
  • RESEARCH
  • INNOVATION CENTER

Tired of Typing? Let's Talk.

Call 1.800.8.COOPER to speak with a Cooper representative who can answer your questions, schedule appointments and register you for classes, events and support groups.

Representatives are available Monday through Friday from 8 a.m. - 5 p.m. to assist you.

Enter your phone number below and we will connect you for free.