Skip to main content
Home
Menu

Search Cooper


Popular Terms and Topics

  • Internal Medicine Residency
  • Surgical Critical Care Fellowship
  • Gastroenterology Fellowship
  • Neurology Residency
  • Cooper Research
Breadcrumb
Home  /   Med Ed Blogs
EM Daily

A General Approach to Febrile Seizures

February 22 2021
Case: A 4 year old boy, otherwise healthy, is rushed into
Connect the Docs

US News and World Report Best Hospital expert opinion survey

February 20 2021
The US News and World Report Best Hospital expert opinion
EM Daily

Management of Life-Threatening Asthma

February 19 2021
The patient with life-threatening asthma requires a cool
EM Daily

Critically Appraised Topic: Antibiotics & Dental Pain

February 18 2021
Background: Dental pain constitutes >2,000,000 ED visits
These Respirator Masks are No Longer Available
Connect the Docs

These Respirator Masks are No Longer Available

February 17 2021
3M 8511 and Head Loop KN95 Respirator Masks are no longer
What's the diagnosis?  By Dr. Katie Nowlan
EM Daily

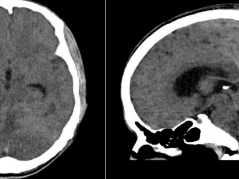
What's the diagnosis? By Dr. Katie Nowlan

February 17 2021
A 26 yo male is brought in with a change in mental status
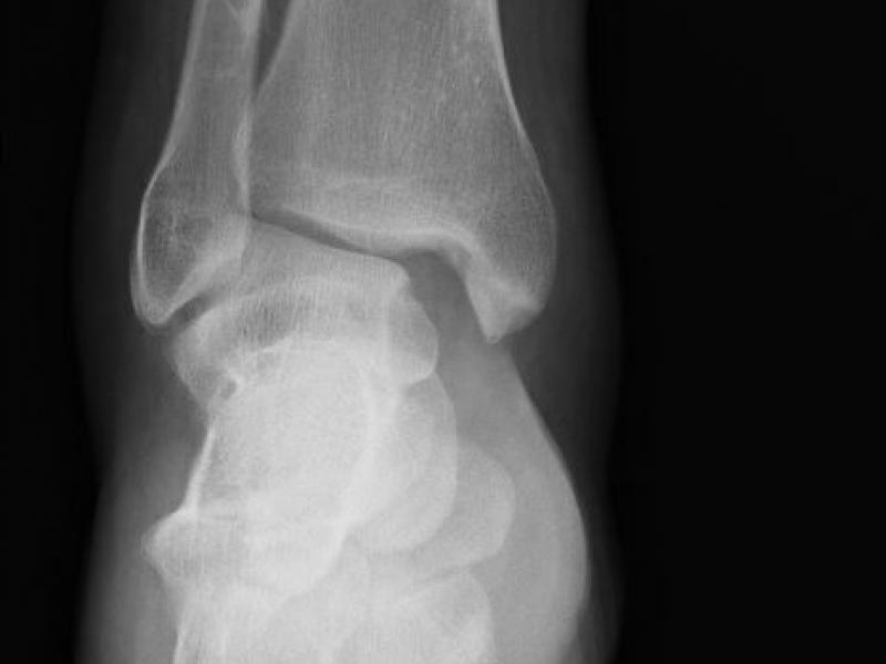
Critical Cases - Ankle dislocation!!
EM Daily

Critical Cases - Ankle dislocation!!

February 16 2021
History 29 yo male with no medical problems presents after
EM Daily

Back to Basics: Open Fractures

February 15 2021
Definition: Fracture associated with a break in the skin
EM Daily

Improving Oxygenation & Ventilation

February 12 2021
The numbers represent: pH: 7.25 (7.35-7.45) pCO2: 52 (35-45)
Connect the Docs

Celebrating Black History month

February 10 2021
In the spirit of Black History Month, we wanted to recognize
  • First page
  • Previous page
  • …
  • Page 79
  • Page 80
  • Current page 81
  • Page 82
  • Page 83
  • …
  • Next page
  • Last page
Blogs

Hospital Main Number

856.342.2000

Main Hospital Website

COOPERHEALTH.ORG

Cooper Health

Programs

  • Residencies
  • Fellowships
  • Nursing Education
  • Allied Health
  • CME
  • Life Support Training

More from Cooper

  • Research
  • Resident Wellness
  • Medical School
  • Our Campus
  • Main Hospital
  • Privacy Statement
  • FastCommand

1.800.8.COOPER (1.800.826.6737)

Contact Us

Cooper University Health Care's Main Website

This website is for informational purposes only and not intended as medical advice or a substitute for a consultation with a professional healthcare provider.

All content © 2022 Cooper University Health Care.

Menu
Education Home
Health System Home
Search

Main Navigation

  • RESIDENCIES
  • FELLOWSHIPS
  • NURSING AT COOPER
  • RESEARCH
  • INNOVATION CENTER

Tired of Typing? Let's Talk.

Call 1.800.8.COOPER to speak with a Cooper representative who can answer your questions, schedule appointments and register you for classes, events and support groups.

Representatives are available Monday through Friday from 8 a.m. - 5 p.m. to assist you.

Enter your phone number below and we will connect you for free.