Skip to main content
Home
Menu

Search Cooper


Popular Terms and Topics

  • Internal Medicine Residency
  • Surgical Critical Care Fellowship
  • Gastroenterology Fellowship
  • Neurology Residency
  • Cooper Research
Breadcrumb
Home  /   Med Ed Blogs
Life at the Coop

Wellness Wednesday: Celebrating Black History Month

February 10 2021
Dear colleagues, In the spirit of Black History Month, we
Philadelphia Academy of Surgery Annual Surgical Trainee Paper Competition Recognizes Three Cooper Surgical Residents
Life at the Coop

Philadelphia Academy of Surgery Annual Surgical Trainee Paper Competition Recognizes Three Cooper Surgical Residents

February 10 2021
Left to Right: General Surgery Residents Clara Zhu, MD
What's the Diagnosis? By Dr. Danielle Kovalsky
EM Daily

What's the Diagnosis? By Dr. Danielle Kovalsky

February 10 2021
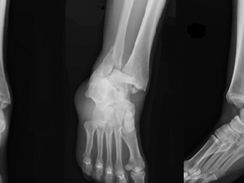
A 41 yo F presents to the ED with R ankle pain after a fall
Critical cases - Digoxin toxicity!
EM Daily

Critical cases - Digoxin toxicity!

February 09 2021
HPI: 76 y/o F with CHF(HFrEF, on digoxin), Afib, CKD III
Board Review: Trauma/Orthopedics
EM Daily

Board Review: Trauma/Orthopedics

February 06 2021
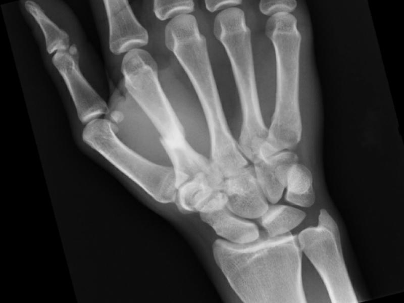
50 year old male presenting to the ER with right second and
Ventilator management of bronchopleural fistula
EM Daily

Ventilator management of bronchopleural fistula

February 05 2021
A 47-year-old man with COVID-19 pneumonia complicated by
EM Daily

Critically Appraised Topic: Haldol for Headache

February 04 2021
Study #1: Single center, prospective, randomized, placebo
Celebrating National Women Physicians Day at Cooper 2021
Life at the Coop

Celebrating National Women Physicians Day at Cooper 2021

February 03 2021
Today is National Women Physicians Day! This day celebrates
Connect the Docs

National Women Physicians Day!

February 03 2021
Today is National Women Physicians Day! This day celebrates
What's the diagnosis?  By Dr. Becca Fieles
EM Daily

What's the diagnosis? By Dr. Becca Fieles

February 03 2021
A 27 year old male with no significant past medical history
  • First page
  • Previous page
  • …
  • Page 80
  • Page 81
  • Current page 82
  • Page 83
  • Page 84
  • …
  • Next page
  • Last page
Blogs

Hospital Main Number

856.342.2000

Main Hospital Website

COOPERHEALTH.ORG

Cooper Health

Programs

  • Residencies
  • Fellowships
  • Nursing Education
  • Allied Health
  • CME
  • Life Support Training

More from Cooper

  • Research
  • Resident Wellness
  • Medical School
  • Our Campus
  • Main Hospital
  • Privacy Statement
  • FastCommand

1.800.8.COOPER (1.800.826.6737)

Contact Us

Cooper University Health Care's Main Website

This website is for informational purposes only and not intended as medical advice or a substitute for a consultation with a professional healthcare provider.

All content © 2022 Cooper University Health Care.

Menu
Education Home
Health System Home
Search

Main Navigation

  • RESIDENCIES
  • FELLOWSHIPS
  • NURSING AT COOPER
  • RESEARCH
  • INNOVATION CENTER

Tired of Typing? Let's Talk.

Call 1.800.8.COOPER to speak with a Cooper representative who can answer your questions, schedule appointments and register you for classes, events and support groups.

Representatives are available Monday through Friday from 8 a.m. - 5 p.m. to assist you.

Enter your phone number below and we will connect you for free.