Skip to main content
Home
Menu

Search Cooper


Popular Terms and Topics

  • Internal Medicine Residency
  • Surgical Critical Care Fellowship
  • Gastroenterology Fellowship
  • Neurology Residency
  • Cooper Research
Breadcrumb
Home  /   Med Ed Blogs
Life at the Coop

Wellness Wednesday: Inspiration in Poetry

January 13 2021
While I'm sure we all tire of the social distancing, not
Connect the Docs

How Polish poetry can speak to a pandemic

January 13 2021
While I'm sure we all tire of the social distancing, not
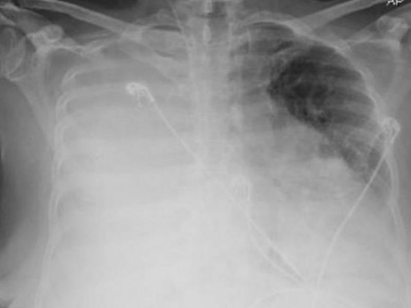
What's the Diagnosis? By Dr. Becca Fieles
EM Daily

What's the Diagnosis? By Dr. Becca Fieles

January 13 2021
A 61 yo F w/ PMH HTN, DM, CKD presents to the ED w 1 month
Critical Cases - Thyrotoxic Periodic Paralysis
EM Daily

Critical Cases - Thyrotoxic Periodic Paralysis

January 12 2021
HPI 30 yo healthy male p/w generalized fatigue, b/l UE and
EM Daily

Back to Basics: Community Acquired Pneumonia

January 11 2021
Back to Basics - Community Acquired Pneumonia By: Kristen
Board Review: OBGYN/SURGERY
EM Daily

Board Review: OBGYN/SURGERY

January 09 2021
A 28 year old female G2P0010 at 9wga by LMP presents to the
Connect the Docs

Resources to help cope with stress after violence

January 08 2021
Given the events in Washington this week along with the
Mechanical ventilation strategies in status asthmaticus
EM Daily

Mechanical ventilation strategies in status asthmaticus

January 08 2021
Less than 5 percent of patients hospitalized for acute
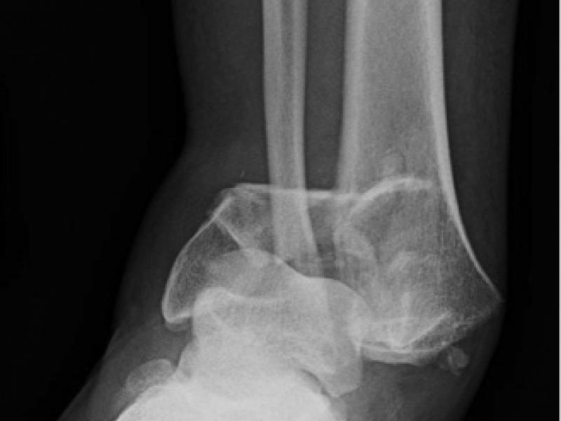
What's the diagnosis?  By Dr. Erica Schramm
EM Daily

What's the diagnosis? By Dr. Erica Schramm

January 06 2021
A 48 year old male fell from a ladder landing on his right
Connect the Docs

A New Years' resolution everyone wants

January 05 2021
Among the things we probably all wanted under the Christmas
  • First page
  • Previous page
  • …
  • Page 83
  • Page 84
  • Current page 85
  • Page 86
  • Page 87
  • …
  • Next page
  • Last page
Blogs

Hospital Main Number

856.342.2000

Main Hospital Website

COOPERHEALTH.ORG

Cooper Health

Programs

  • Residencies
  • Fellowships
  • Nursing Education
  • Allied Health
  • CME
  • Life Support Training

More from Cooper

  • Research
  • Resident Wellness
  • Medical School
  • Our Campus
  • Main Hospital
  • Privacy Statement
  • FastCommand

1.800.8.COOPER (1.800.826.6737)

Contact Us

Cooper University Health Care's Main Website

This website is for informational purposes only and not intended as medical advice or a substitute for a consultation with a professional healthcare provider.

All content © 2022 Cooper University Health Care.

Menu
Education Home
Health System Home
Search

Main Navigation

  • RESIDENCIES
  • FELLOWSHIPS
  • NURSING AT COOPER
  • RESEARCH
  • INNOVATION CENTER

Tired of Typing? Let's Talk.

Call 1.800.8.COOPER to speak with a Cooper representative who can answer your questions, schedule appointments and register you for classes, events and support groups.

Representatives are available Monday through Friday from 8 a.m. - 5 p.m. to assist you.

Enter your phone number below and we will connect you for free.