Skip to main content
Home
Menu

Search Cooper


Popular Terms and Topics

  • Internal Medicine Residency
  • Surgical Critical Care Fellowship
  • Gastroenterology Fellowship
  • Neurology Residency
  • Cooper Research
Breadcrumb
Home  /   Med Ed Blogs
EM Daily

#EMConf: Winter Emergencies

December 24 2020
Non-freezing cold injuries Trench Foot -direct injury to
Wellness Wednesday: An Example From Notre Dame
Life at the Coop

Wellness Wednesday: An Example From Notre Dame

December 23 2020
The burned Notre Dame stands as a shining example of
OpEd: The Medical Trainees and Other Professionals Supporting the Intensive Care Units in the Fight Against COVID-19
Life at the Coop

OpEd: The Medical Trainees and Other Professionals Supporting the Intensive Care Units in the Fight Against COVID-19

December 23 2020
Nitin K Puri, MD I am not sure if I ever will get used to
What's the diagnosis?  By Dr. Becca Fieles
EM Daily

What's the diagnosis? By Dr. Becca Fieles

December 23 2020
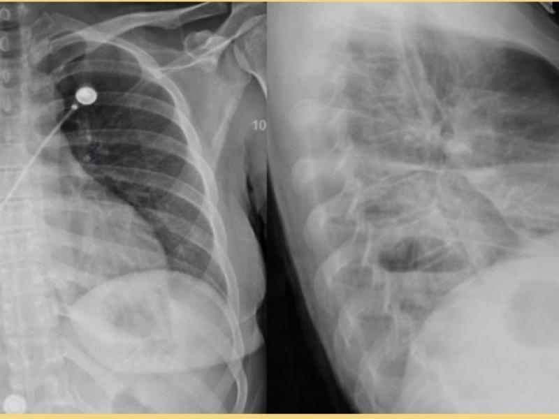
A 30 yo female with a hx of IVDA presents with 2 weeks of
EM Daily

Pediatric Coughs: Bronchiolitis

December 21 2020
BRONCHIOLITIS Valeria Wu, MD Presentation: Kids 2, commonly
Board Review: Winter Emergencies
EM Daily

Board Review: Winter Emergencies

December 19 2020
A cardiac arrest arrives to the Emergency Department in
EM Daily

Critically Appraised Topic: Dexamethasone for Sore Throat?

December 18 2020
Clinical Question: Does dexamethasone shorten the duration
Life at the Coop

Wellness Wednesday: CMSRU's Acoopella Holiday Carols 2020

December 16 2020
Do you need to get into the holiday spirit? Our super
Connect the Docs

A Coopella

December 16 2020
https://www.youtube.com/watch?v=kd-NXeTQEe0&feature=youtu.be
What's the Diagnosis? By Dr. Sandhya Ashokkumar
EM Daily

What's the Diagnosis? By Dr. Sandhya Ashokkumar

December 16 2020
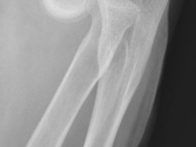
A 68 yo F presents to the ED s/p fall. She slipped walking
  • First page
  • Previous page
  • …
  • Page 85
  • Page 86
  • Current page 87
  • Page 88
  • Page 89
  • …
  • Next page
  • Last page
Blogs

Hospital Main Number

856.342.2000

Main Hospital Website

COOPERHEALTH.ORG

Cooper Health

Programs

  • Residencies
  • Fellowships
  • Nursing Education
  • Allied Health
  • CME
  • Life Support Training

More from Cooper

  • Research
  • Resident Wellness
  • Medical School
  • Our Campus
  • Main Hospital
  • Privacy Statement
  • FastCommand

1.800.8.COOPER (1.800.826.6737)

Contact Us

Cooper University Health Care's Main Website

This website is for informational purposes only and not intended as medical advice or a substitute for a consultation with a professional healthcare provider.

All content © 2022 Cooper University Health Care.

Menu
Education Home
Health System Home
Search

Main Navigation

  • RESIDENCIES
  • FELLOWSHIPS
  • NURSING AT COOPER
  • RESEARCH
  • INNOVATION CENTER

Tired of Typing? Let's Talk.

Call 1.800.8.COOPER to speak with a Cooper representative who can answer your questions, schedule appointments and register you for classes, events and support groups.

Representatives are available Monday through Friday from 8 a.m. - 5 p.m. to assist you.

Enter your phone number below and we will connect you for free.