Skip to main content
Home
Menu

Search Cooper


Popular Terms and Topics

  • Internal Medicine Residency
  • Surgical Critical Care Fellowship
  • Gastroenterology Fellowship
  • Neurology Residency
  • Cooper Research
Breadcrumb
Home  /   Med Ed Blogs
Emergency Medicine Hosts September Virtual Meet and Greets!
Life at the Coop

Emergency Medicine Hosts September Virtual Meet and Greets!

September 03 2020
We want to meet you! Register now to learn about what and
Connect the Docs

Celebrating Women in Medicine Month

September 03 2020
September is Women in Medicine Month! At Cooper, our Women
EM Daily

#EMConf: Serotonin Syndrome

September 03 2020
A dose-related response to having too much serotonin present
Life at the Coop

Our GME Experience at Cooper

September 02 2020
It's here! We're thrilled to share our official GME video
Life at the Coop

Wellness Wednesday: Combating Anxiety

September 02 2020
All anxiety is about the future. It is natural to feel
Kudos to our Provider of the Quarter
Connect the Docs

Kudos to our Provider of the Quarter

September 02 2020
Congratulations to Phil Fizur, one of clinical psychologists
What's the Diagnosis? By Dr. Rebecca Fieles
EM Daily

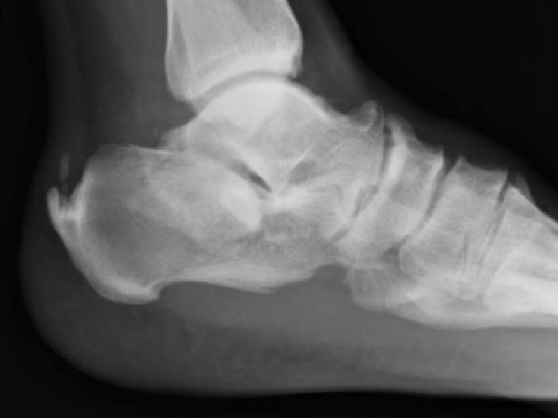
What's the Diagnosis? By Dr. Rebecca Fieles

September 02 2020
A 44 yo M presents to the ED w/ L foot and ankle pain. He
Critical Cases - Epidural Hematoma!
EM Daily

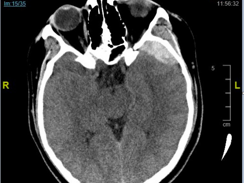
Critical Cases - Epidural Hematoma!

September 01 2020
HPI 18 yo male restrained front seat passenger T boned by a
EM Daily

Back-to-Basics: Ectopic Pregnancy

August 31 2020
ECTOPIC PREGNANCY Valeria Wu, MD Presents with: Abdominal
Board Review: Oh SNAP!
EM Daily

Board Review: Oh SNAP!

August 29 2020
65 year old woman who presents to the ED with diffuse right
  • First page
  • Previous page
  • …
  • Page 97
  • Page 98
  • Current page 99
  • Page 100
  • Page 101
  • …
  • Next page
  • Last page
Blogs

Hospital Main Number

856.342.2000

Main Hospital Website

COOPERHEALTH.ORG

Cooper Health

Programs

  • Residencies
  • Fellowships
  • Nursing Education
  • Allied Health
  • CME
  • Life Support Training

More from Cooper

  • Research
  • Resident Wellness
  • Medical School
  • Our Campus
  • Main Hospital
  • Privacy Statement
  • FastCommand

1.800.8.COOPER (1.800.826.6737)

Contact Us

Cooper University Health Care's Main Website

This website is for informational purposes only and not intended as medical advice or a substitute for a consultation with a professional healthcare provider.

All content © 2022 Cooper University Health Care.

Menu
Education Home
Health System Home
Search

Main Navigation

  • RESIDENCIES
  • FELLOWSHIPS
  • NURSING AT COOPER
  • RESEARCH
  • INNOVATION CENTER

Tired of Typing? Let's Talk.

Call 1.800.8.COOPER to speak with a Cooper representative who can answer your questions, schedule appointments and register you for classes, events and support groups.

Representatives are available Monday through Friday from 8 a.m. - 5 p.m. to assist you.

Enter your phone number below and we will connect you for free.