Skip to main content
Home
Menu

Search Cooper


Popular Terms and Topics

  • Internal Medicine Residency
  • Surgical Critical Care Fellowship
  • Gastroenterology Fellowship
  • Neurology Residency
  • Cooper Research
Breadcrumb
Home  /   Med Ed Blogs
VA-ECMO for massive pulmonary embolism
EM Daily

VA-ECMO for massive pulmonary embolism

August 28 2020
A 60-year-old man presents to the ED after an episode of
EM Daily

#EMConf: Toxic Household Products

August 27 2020
Patient Population -Caustic exposures have bimodal age
Connect the Docs

Making your vote count

August 27 2020
A century ago last week, the United States ratified the 19th
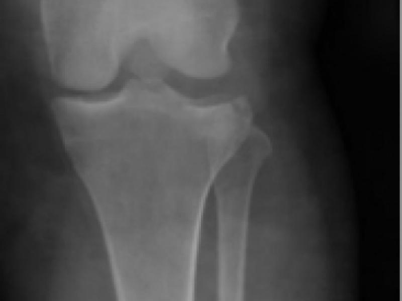
What's the diagnosis?  By Dr. Sandhya Ashokumar
EM Daily

What's the diagnosis? By Dr. Sandhya Ashokumar

August 26 2020
A 40 yo female presents with knee pain after climbing a
EM Daily

Critical Cases: Foreign Body in the Ear

August 25 2020
History : A previously healthy 9 yo M presents to the ED
Back-to-Basics: Drowning
EM Daily

Back-to-Basics: Drowning

August 24 2020
Drowning Valeria Wu, MD Drowning = submersion in liquid 
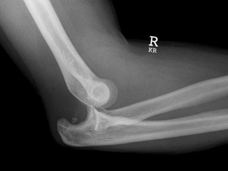
Board Review: Oh SNAP!
EM Daily

Board Review: Oh SNAP!

August 22 2020
63 year old male with PMHx of HTN, DM, COPD p/w right elbow
EM Daily

Crucial Conversations in the ED

August 21 2020
EMS calls ahead with reports of an adult patient in
EM Daily

Critically Appraised Topic: POCUS & Small Bowel Obstruction

August 20 2020
Bottom line: - POCUS can be an effective tool for ruling out
What's the Diagnosis? By Dr. Valeria Wu
EM Daily

What's the Diagnosis? By Dr. Valeria Wu

August 19 2020
A 55 yo M presents to the ED w/ thumb pain following an MVC
  • First page
  • Previous page
  • …
  • Page 98
  • Page 99
  • Current page 100
  • Page 101
  • Page 102
  • …
  • Next page
  • Last page
Blogs

Hospital Main Number

856.342.2000

Main Hospital Website

COOPERHEALTH.ORG

Cooper Health

Programs

  • Residencies
  • Fellowships
  • Nursing Education
  • Allied Health
  • CME
  • Life Support Training

More from Cooper

  • Research
  • Resident Wellness
  • Medical School
  • Our Campus
  • Main Hospital
  • Privacy Statement
  • FastCommand

1.800.8.COOPER (1.800.826.6737)

Contact Us

Cooper University Health Care's Main Website

This website is for informational purposes only and not intended as medical advice or a substitute for a consultation with a professional healthcare provider.

All content © 2022 Cooper University Health Care.

Menu
Education Home
Health System Home
Search

Main Navigation

  • RESIDENCIES
  • FELLOWSHIPS
  • NURSING AT COOPER
  • RESEARCH
  • INNOVATION CENTER

Tired of Typing? Let's Talk.

Call 1.800.8.COOPER to speak with a Cooper representative who can answer your questions, schedule appointments and register you for classes, events and support groups.

Representatives are available Monday through Friday from 8 a.m. - 5 p.m. to assist you.

Enter your phone number below and we will connect you for free.