Skip to main content
Home
Menu

Search Cooper


Popular Terms and Topics

  • Internal Medicine Residency
  • Surgical Critical Care Fellowship
  • Gastroenterology Fellowship
  • Neurology Residency
  • Cooper Research
Breadcrumb
Home  /   Med Ed Blogs
EM Daily

#EMConf: Journal club

April 16 2020
Our monthly journal club featured a topic that it on many of
EM Daily

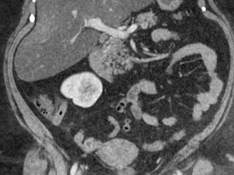
What's the diagnosis? By Dr. Angela Ugorets

April 15 2020
A 45 year old female with a history of breast cancer
EM Daily

Types of Skin & Soft Tissue Infections

April 13 2020
Soft Tissue Infections Minor: ▪ Folliculitis- pustules with
Board Review: Lets get some air
EM Daily

Board Review: Lets get some air

April 12 2020
A 45-year-old female with a history of ovarian cancer
EM Daily

The discovery of prone positioning in ARDS

April 10 2020
I still remember the first time I "helped" prone a patient
EM Daily

#EMConf: CAT Anesthetic eye drops

April 09 2020
Question: Are anesthetic eye drops (proparacaine, tetracaine
Connect the Docs

School's Out childcare camp

April 08 2020
The attached flyer for further details on a state-funded
Connect the Docs

Childcare resources

April 08 2020
Medical students from Temple have compiled a list of
What's the Diagnosis? By Dr. Loran Hatch
EM Daily

What's the Diagnosis? By Dr. Loran Hatch

April 08 2020
40 yo F presents to the ED w/ 12 hours of GI symptoms. She
Critical Cases - Blunt Myocardial Injury
EM Daily

Critical Cases - Blunt Myocardial Injury

April 07 2020
HPI : 67 yo M with history DM, HTN, presenting as restrained
  • First page
  • Previous page
  • …
  • Page 110
  • Page 111
  • Current page 112
  • Page 113
  • Page 114
  • …
  • Next page
  • Last page
Blogs

Hospital Main Number

856.342.2000

Main Hospital Website

COOPERHEALTH.ORG

Cooper Health

Programs

  • Residencies
  • Fellowships
  • Nursing Education
  • Allied Health
  • CME
  • Life Support Training

More from Cooper

  • Research
  • Resident Wellness
  • Medical School
  • Our Campus
  • Main Hospital
  • Privacy Statement
  • FastCommand

1.800.8.COOPER (1.800.826.6737)

Contact Us

Cooper University Health Care's Main Website

This website is for informational purposes only and not intended as medical advice or a substitute for a consultation with a professional healthcare provider.

All content © 2022 Cooper University Health Care.

Menu
Education Home
Health System Home
Search

Main Navigation

  • RESIDENCIES
  • FELLOWSHIPS
  • NURSING AT COOPER
  • RESEARCH
  • INNOVATION CENTER

Tired of Typing? Let's Talk.

Call 1.800.8.COOPER to speak with a Cooper representative who can answer your questions, schedule appointments and register you for classes, events and support groups.

Representatives are available Monday through Friday from 8 a.m. - 5 p.m. to assist you.

Enter your phone number below and we will connect you for free.