Skip to main content
Home
Menu

Search Cooper


Popular Terms and Topics

  • Internal Medicine Residency
  • Surgical Critical Care Fellowship
  • Gastroenterology Fellowship
  • Neurology Residency
  • Cooper Research
Breadcrumb
Home  /   Med Ed Blogs
Back to Basics: Ischemic Colitis
EM Daily

Back to Basics: Ischemic Colitis

March 30 2020
Ischemic Colitis Background : Decreased perfusion and
EM Daily

Essential resources for COVID-19

March 27 2020
The rapid pace and dynamic nature of information regarding
#EMConf: CAP Guidelines review
EM Daily

#EMConf: CAP Guidelines review

March 26 2020
SEVERE CAP = one major or three minor HCAP is OUT
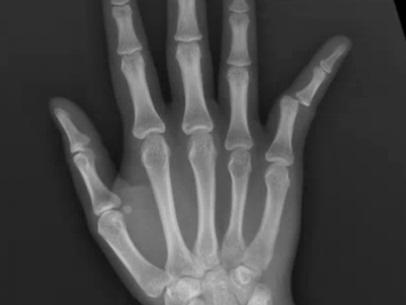
What's the Diagnosis? By Dr. Lynn Manganiello
EM Daily

What's the Diagnosis? By Dr. Lynn Manganiello

March 25 2020
A 13 year old female presents with right 5th digit pain and
Interesting case of chest pain
EM Daily

Interesting case of chest pain

March 24 2020
History: 54 y.o. Male hx MI s/p PCI (years ago) presenting w
EM Daily

Back to Basics: Toxic Shock Syndrome

March 23 2020
Toxic Shock Syndrome Overview - caused by toxigenic strains
Board Review: Attack of the Bugs
EM Daily

Board Review: Attack of the Bugs

March 21 2020
A 30-year-old male with a history of IVDU and HIV presents
Life at the Coop

They're Here! Cooper Match Results for 2020/21

March 20 2020
On March 20, 2020, at 1 p.m., the 2020/2021 NRMP results
EM Daily

Finding language when there are no words

March 20 2020
During the current pandemic, physicians are findings
EM Daily

#EMConf: CAT

March 19 2020
Does providing an ondansetron prescription to pediatric
  • First page
  • Previous page
  • …
  • Page 112
  • Page 113
  • Current page 114
  • Page 115
  • Page 116
  • …
  • Next page
  • Last page
Blogs

Hospital Main Number

856.342.2000

Main Hospital Website

COOPERHEALTH.ORG

Cooper Health

Programs

  • Residencies
  • Fellowships
  • Nursing Education
  • Allied Health
  • CME
  • Life Support Training

More from Cooper

  • Research
  • Resident Wellness
  • Medical School
  • Our Campus
  • Main Hospital
  • Privacy Statement
  • FastCommand

1.800.8.COOPER (1.800.826.6737)

Contact Us

Cooper University Health Care's Main Website

This website is for informational purposes only and not intended as medical advice or a substitute for a consultation with a professional healthcare provider.

All content © 2022 Cooper University Health Care.

Menu
Education Home
Health System Home
Search

Main Navigation

  • RESIDENCIES
  • FELLOWSHIPS
  • NURSING AT COOPER
  • RESEARCH
  • INNOVATION CENTER

Tired of Typing? Let's Talk.

Call 1.800.8.COOPER to speak with a Cooper representative who can answer your questions, schedule appointments and register you for classes, events and support groups.

Representatives are available Monday through Friday from 8 a.m. - 5 p.m. to assist you.

Enter your phone number below and we will connect you for free.