Skip to main content
Home
Menu

Search Cooper


Popular Terms and Topics

  • Internal Medicine Residency
  • Surgical Critical Care Fellowship
  • Gastroenterology Fellowship
  • Neurology Residency
  • Cooper Research
Breadcrumb
Home  /   Med Ed Blogs
Critical Cases - Blunt Myocardial Injury
EM Daily

Critical Cases - Blunt Myocardial Injury

April 07 2020
HPI : 67 yo M with history DM, HTN, presenting as restrained
Critical Cases - Blunt Myocardial Injury
EM Daily

Critical Cases - Blunt Myocardial Injury

April 07 2020
HPI : 67 yo M with history DM, HTN, presenting as restrained
Board Review: Attack of the Bugs
EM Daily

Board Review: Attack of the Bugs

April 04 2020
60-year-old female presents to the emergency department with
EM Daily

To art line or not to art line?

April 03 2020
You are working in a busy ED when a patient who is 54
EM Daily

#EMConf: Tox in the news

April 02 2020
What we know about chloroquine overdose comes from
Connect the Docs

Wellness support services

April 01 2020
The Resiliency Resource Team was created earlier last week
Life at the Coop

Wellness Wednesday: Combating Fear and Anxiety

April 01 2020
Dr. Rostain, Dr. Gilrain, and their teams at Cooper have
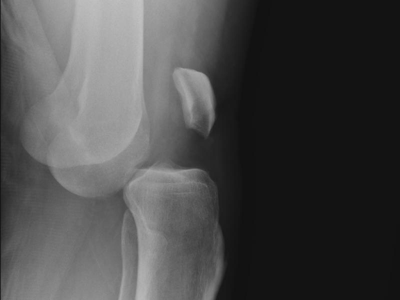
What's the diagnosis?  By Dr. Angela Ugorets
EM Daily

What's the diagnosis? By Dr. Angela Ugorets

April 01 2020
A 26 yo male presents to the ED with severe left leg pain
EM Daily

Interesting case of paralysis

March 31 2020
HPI 16 y/o female p/w L sided facial droop and L eyelid
Connect the Docs

Happy Doctor's Day

March 31 2020
Now more than ever, we want to recognize and celebrate you
  • First page
  • Previous page
  • …
  • Page 111
  • Page 112
  • Current page 113
  • Page 114
  • Page 115
  • …
  • Next page
  • Last page
Blogs

Hospital Main Number

856.342.2000

Main Hospital Website

COOPERHEALTH.ORG

Cooper Health

Programs

  • Residencies
  • Fellowships
  • Nursing Education
  • Allied Health
  • CME
  • Life Support Training

More from Cooper

  • Research
  • Resident Wellness
  • Medical School
  • Our Campus
  • Main Hospital
  • Privacy Statement
  • FastCommand

1.800.8.COOPER (1.800.826.6737)

Contact Us

Cooper University Health Care's Main Website

This website is for informational purposes only and not intended as medical advice or a substitute for a consultation with a professional healthcare provider.

All content © 2022 Cooper University Health Care.

Menu
Education Home
Health System Home
Search

Main Navigation

  • RESIDENCIES
  • FELLOWSHIPS
  • NURSING AT COOPER
  • RESEARCH
  • INNOVATION CENTER

Tired of Typing? Let's Talk.

Call 1.800.8.COOPER to speak with a Cooper representative who can answer your questions, schedule appointments and register you for classes, events and support groups.

Representatives are available Monday through Friday from 8 a.m. - 5 p.m. to assist you.

Enter your phone number below and we will connect you for free.