Skip to main content
Home
Menu

Search Cooper


Popular Terms and Topics

  • Internal Medicine Residency
  • Surgical Critical Care Fellowship
  • Gastroenterology Fellowship
  • Neurology Residency
  • Cooper Research
Breadcrumb
Home  /   Med Ed Blogs
What's the diagnosis?  By Dr. Loran Hatch
EM Daily

What's the diagnosis? By Dr. Loran Hatch

March 18 2020
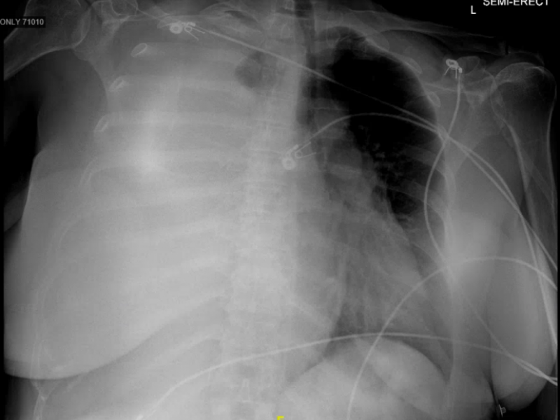
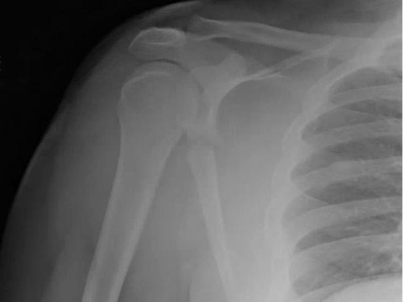
A 35 yo male presents with right shoulder pain. He was
Connect the Docs

Free Headspace app for mindfulness

March 17 2020
This is a very stressful time for people and clinicians will
Connect the Docs

Childcare Co-op

March 17 2020
Some medical students at Jefferson are compiling a list of
Interesting case of pleural effusion
EM Daily

Interesting case of pleural effusion

March 17 2020
HPI: 47 y/o F, no PMHx, sent in from UC for R sided pleural
Back to Basics:  Pseudogout
EM Daily

Back to Basics: Pseudogout

March 16 2020
Pseudogout · Aka Calcium Pyrophosphate Deposition Disease
EM Daily

Board Review: Attack of the Bugs

March 14 2020
A 25-year-old male presents to the ED with fever associated
Goldilocks in the ICU: Oxygenation targets for mechanical ventilation
EM Daily

Goldilocks in the ICU: Oxygenation targets for mechanical ventilation

March 13 2020
Like all medical therapies, we have learned that treatment
#EMConf: ECG review
EM Daily

#EMConf: ECG review

March 12 2020
Life at the Coop

Wellness Wednesday: Staying Connected

March 11 2020
We appreciate your hard work and dedication, especially
What's the Diagnosis? By Dr. Erica Schramm
EM Daily

What's the Diagnosis? By Dr. Erica Schramm

March 11 2020
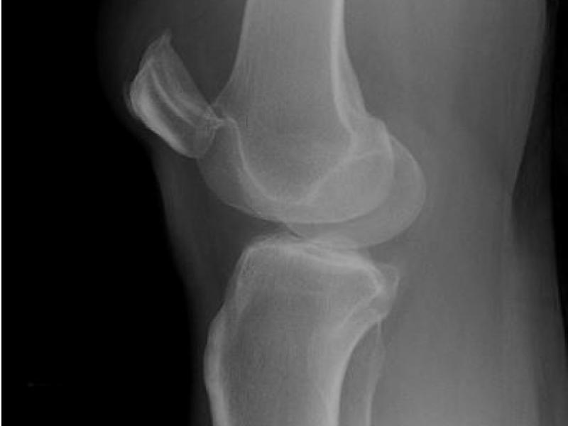
A 40 year old female presents with right knee pain after she
  • First page
  • Previous page
  • …
  • Page 113
  • Page 114
  • Current page 115
  • Page 116
  • Page 117
  • …
  • Next page
  • Last page
Blogs

Hospital Main Number

856.342.2000

Main Hospital Website

COOPERHEALTH.ORG

Cooper Health

Programs

  • Residencies
  • Fellowships
  • Nursing Education
  • Allied Health
  • CME
  • Life Support Training

More from Cooper

  • Research
  • Resident Wellness
  • Medical School
  • Our Campus
  • Main Hospital
  • Privacy Statement
  • FastCommand

1.800.8.COOPER (1.800.826.6737)

Contact Us

Cooper University Health Care's Main Website

This website is for informational purposes only and not intended as medical advice or a substitute for a consultation with a professional healthcare provider.

All content © 2022 Cooper University Health Care.

Menu
Education Home
Health System Home
Search

Main Navigation

  • RESIDENCIES
  • FELLOWSHIPS
  • NURSING AT COOPER
  • RESEARCH
  • INNOVATION CENTER

Tired of Typing? Let's Talk.

Call 1.800.8.COOPER to speak with a Cooper representative who can answer your questions, schedule appointments and register you for classes, events and support groups.

Representatives are available Monday through Friday from 8 a.m. - 5 p.m. to assist you.

Enter your phone number below and we will connect you for free.