Skip to main content
Home
Menu

Search Cooper


Popular Terms and Topics

  • Internal Medicine Residency
  • Surgical Critical Care Fellowship
  • Gastroenterology Fellowship
  • Neurology Residency
  • Cooper Research
Breadcrumb
Home  /   Med Ed Blogs
What's the Diagnosis? By Lesley Walinchus-Foster
EM Daily

What's the Diagnosis? By Lesley Walinchus-Foster

January 30 2019
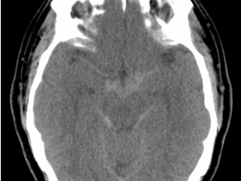
A 50 yo M presents to the ED w/ sudden onset severe headache
What's the Diagnosis? By Lesley Walinchus-Foster
EM Daily

What's the Diagnosis? By Lesley Walinchus-Foster

January 30 2019
A 50 yo M presents to the ED w/ sudden onset severe headache
Advanced Practice - Calcific Tendonitis Can Mimic Septic Arthritis!
EM Daily

Advanced Practice - Calcific Tendonitis Can Mimic Septic Arthritis!

January 29 2019
Arrow indicates calcium deposit on tendon Calcific
Connect the Docs

Cooper is Hosting Buprenorphine Trainings!

January 28 2019
These trainings will be case based learning sessions for
EM Daily

Board Review: Neurology

January 25 2019
A 26 year old male presents to your Emergency Department
EM Daily

Board Review: Neurology

January 25 2019
A 26 year old male presents to your Emergency Department
Connect the Docs

Tough Questions

January 24 2019
Waterfront Parking Added an additional shuttle in the
EM Daily

#EMConf: Massive Hemoptysis Part II

January 24 2019
Refer here for part I of this case Management Airway - this
EM Daily

#EMConf: Massive Hemoptysis Part II

January 24 2019
Refer here for part I of this case Management Airway - this
What's the diagnosis?  By Dr. Loran Hatch
EM Daily

What's the diagnosis? By Dr. Loran Hatch

January 23 2019
A 2 yo male presents to the ED with his mother because she
  • First page
  • Previous page
  • …
  • Page 153
  • Page 154
  • Current page 155
  • Page 156
  • Page 157
  • …
  • Next page
  • Last page
Blogs

Hospital Main Number

856.342.2000

Main Hospital Website

COOPERHEALTH.ORG

Cooper Health

Programs

  • Residencies
  • Fellowships
  • Nursing Education
  • Allied Health
  • CME
  • Life Support Training

More from Cooper

  • Research
  • Resident Wellness
  • Medical School
  • Our Campus
  • Main Hospital
  • Privacy Statement
  • FastCommand

1.800.8.COOPER (1.800.826.6737)

Contact Us

Cooper University Health Care's Main Website

This website is for informational purposes only and not intended as medical advice or a substitute for a consultation with a professional healthcare provider.

All content © 2022 Cooper University Health Care.

Menu
Education Home
Health System Home
Search

Main Navigation

  • RESIDENCIES
  • FELLOWSHIPS
  • NURSING AT COOPER
  • RESEARCH
  • INNOVATION CENTER

Tired of Typing? Let's Talk.

Call 1.800.8.COOPER to speak with a Cooper representative who can answer your questions, schedule appointments and register you for classes, events and support groups.

Representatives are available Monday through Friday from 8 a.m. - 5 p.m. to assist you.

Enter your phone number below and we will connect you for free.