Skip to main content
Home
Menu

Search Cooper


Popular Terms and Topics

  • Internal Medicine Residency
  • Surgical Critical Care Fellowship
  • Gastroenterology Fellowship
  • Neurology Residency
  • Cooper Research
Breadcrumb
Home  /   Med Ed Blogs
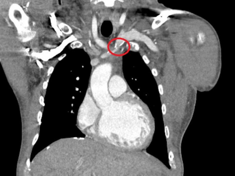
Advanced Practice: Thoracic Central Venous Obstruction!
EM Daily

Advanced Practice: Thoracic Central Venous Obstruction!

January 08 2019
Thoracic Central Venous Obstruction : Stenosis , obstruction
Advanced Practice: Thoracic Central Venous Obstruction!
EM Daily

Advanced Practice: Thoracic Central Venous Obstruction!

January 08 2019
Thoracic Central Venous Obstruction : Stenosis , obstruction
EM Daily

Back to Basics: Clonidine Toxicity

January 07 2019
Clonidine Toxicity **Potential indications for use
EM Daily

Back to Basics: Clonidine Toxicity

January 07 2019
Clonidine Toxicity **Potential indications for use
EM Daily

Board Review: Toxicology

January 05 2019
Which of the following medications is NOT associated with
EM Daily

Board Review: Toxicology

January 05 2019
Which of the following medications is NOT associated with
EM Daily

Critical Illness and Pregnancy

January 03 2019
Below are some link to prior reviews on this topic: http:/
EM Daily

Critical Illness and Pregnancy

January 03 2019
Below are some link to prior reviews on this topic: http:/
What's the Diagnosis? By Dr. Erica Schramm
EM Daily

What's the Diagnosis? By Dr. Erica Schramm

January 02 2019
25 year-old female presents following a fall from her horse
What's the Diagnosis? By Dr. Erica Schramm
EM Daily

What's the Diagnosis? By Dr. Erica Schramm

January 02 2019
25 year-old female presents following a fall from her horse
  • First page
  • Previous page
  • …
  • Page 156
  • Page 157
  • Current page 158
  • Page 159
  • Page 160
  • …
  • Next page
  • Last page
Blogs

Hospital Main Number

856.342.2000

Main Hospital Website

COOPERHEALTH.ORG

Cooper Health

Programs

  • Residencies
  • Fellowships
  • Nursing Education
  • Allied Health
  • CME
  • Life Support Training

More from Cooper

  • Research
  • Resident Wellness
  • Medical School
  • Our Campus
  • Main Hospital
  • Privacy Statement
  • FastCommand

1.800.8.COOPER (1.800.826.6737)

Contact Us

Cooper University Health Care's Main Website

This website is for informational purposes only and not intended as medical advice or a substitute for a consultation with a professional healthcare provider.

All content © 2022 Cooper University Health Care.

Menu
Education Home
Health System Home
Search

Main Navigation

  • RESIDENCIES
  • FELLOWSHIPS
  • NURSING AT COOPER
  • RESEARCH
  • INNOVATION CENTER

Tired of Typing? Let's Talk.

Call 1.800.8.COOPER to speak with a Cooper representative who can answer your questions, schedule appointments and register you for classes, events and support groups.

Representatives are available Monday through Friday from 8 a.m. - 5 p.m. to assist you.

Enter your phone number below and we will connect you for free.