Skip to main content
Home
Menu

Search Cooper


Popular Terms and Topics

  • Internal Medicine Residency
  • Surgical Critical Care Fellowship
  • Gastroenterology Fellowship
  • Neurology Residency
  • Cooper Research
Breadcrumb
Home  /   Med Ed Blogs
Advanced Practice - Missed Orthopedic Injuries in the ED!
EM Daily

Advanced Practice - Missed Orthopedic Injuries in the ED!

January 14 2019
(The injury is a perilunate dislocation of the wrist) Missed
Advanced Practice - Missed Orthopedic Injuries in the ED!
EM Daily

Advanced Practice - Missed Orthopedic Injuries in the ED!

January 14 2019
(The injury is a perilunate dislocation of the wrist) Missed
EM Daily

Back to Basics: Push Dose Vasopressors

January 14 2019
Push Dose Vasopressors Say What?! By: Rachel Rafeq, PharmD
EM Daily

Back to Basics: Push Dose Vasopressors

January 14 2019
Push Dose Vasopressors Say What?! By: Rachel Rafeq, PharmD
EM Daily

Board Review: Pediatrics

January 11 2019
Which of the following pediatric conditions is associated
EM Daily

Board Review: Pediatrics

January 11 2019
Which of the following pediatric conditions is associated
EM Daily

#EMConf: Environmental Hypothermia

January 10 2019
Hypothermia is a potentially life threatening condition seen
EM Daily

#EMConf: Environmental Hypothermia

January 10 2019
Hypothermia is a potentially life threatening condition seen
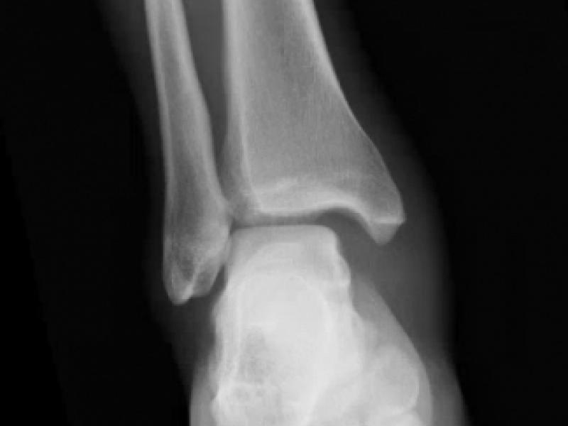
What's the diagnosis?  By Dr. Michael Tom
EM Daily

What's the diagnosis? By Dr. Michael Tom

January 09 2019
A 24 yo male presents with ankle pain after attempting a
What's the diagnosis?  By Dr. Michael Tom
EM Daily

What's the diagnosis? By Dr. Michael Tom

January 09 2019
A 24 yo male presents with ankle pain after attempting a
  • First page
  • Previous page
  • …
  • Page 155
  • Page 156
  • Current page 157
  • Page 158
  • Page 159
  • …
  • Next page
  • Last page
Blogs

Hospital Main Number

856.342.2000

Main Hospital Website

COOPERHEALTH.ORG

Cooper Health

Programs

  • Residencies
  • Fellowships
  • Nursing Education
  • Allied Health
  • CME
  • Life Support Training

More from Cooper

  • Research
  • Resident Wellness
  • Medical School
  • Our Campus
  • Main Hospital
  • Privacy Statement
  • FastCommand

1.800.8.COOPER (1.800.826.6737)

Contact Us

Cooper University Health Care's Main Website

This website is for informational purposes only and not intended as medical advice or a substitute for a consultation with a professional healthcare provider.

All content © 2022 Cooper University Health Care.

Menu
Education Home
Health System Home
Search

Main Navigation

  • RESIDENCIES
  • FELLOWSHIPS
  • NURSING AT COOPER
  • RESEARCH
  • INNOVATION CENTER

Tired of Typing? Let's Talk.

Call 1.800.8.COOPER to speak with a Cooper representative who can answer your questions, schedule appointments and register you for classes, events and support groups.

Representatives are available Monday through Friday from 8 a.m. - 5 p.m. to assist you.

Enter your phone number below and we will connect you for free.