Skip to main content
Home
Menu

Search Cooper


Popular Terms and Topics

  • Internal Medicine Residency
  • Surgical Critical Care Fellowship
  • Gastroenterology Fellowship
  • Neurology Residency
  • Cooper Research
Breadcrumb
Home  /   Med Ed Blogs
What's the diagnosis?  By Dr. Loran Hatch
EM Daily

What's the diagnosis? By Dr. Loran Hatch

January 23 2019
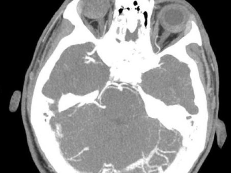
A 2 yo male presents to the ED with his mother because she
EM Daily

Advanced Practice - My Patient Hearing Opera Singer in Right Ear

January 22 2019
Auditory release hallucinations (aka "musical ear syndrome")
EM Daily

Advanced Practice - My Patient Hearing Opera Singer in Right Ear

January 22 2019
Auditory release hallucinations (aka "musical ear syndrome")
EM Daily

Board Review: Toxicology

January 19 2019
Which of the following poison is NOT correctly matched with
EM Daily

Board Review: Toxicology

January 19 2019
Which of the following poison is NOT correctly matched with
EM Daily

#EMConf: Massive Hemoptysis

January 17 2019
What makes massive hemoptysis massive? - Classic teaching is
EM Daily

#EMConf: Massive Hemoptysis

January 17 2019
What makes massive hemoptysis massive? - Classic teaching is
Connect the Docs

CGCAHPS 4th Quarter 2018 Provider Comments

January 16 2019
KUDOS to all our providers for their hard work and
What's the Diagnosis? By Dr. Katie Selman
EM Daily

What's the Diagnosis? By Dr. Katie Selman

January 16 2019
A 15 yo M presents to the ED with headache x 3 days. He
What's the Diagnosis? By Dr. Katie Selman
EM Daily

What's the Diagnosis? By Dr. Katie Selman

January 16 2019
A 15 yo M presents to the ED with headache x 3 days. He
  • First page
  • Previous page
  • …
  • Page 154
  • Page 155
  • Current page 156
  • Page 157
  • Page 158
  • …
  • Next page
  • Last page
Blogs

Hospital Main Number

856.342.2000

Main Hospital Website

COOPERHEALTH.ORG

Cooper Health

Programs

  • Residencies
  • Fellowships
  • Nursing Education
  • Allied Health
  • CME
  • Life Support Training

More from Cooper

  • Research
  • Resident Wellness
  • Medical School
  • Our Campus
  • Main Hospital
  • Privacy Statement
  • FastCommand

1.800.8.COOPER (1.800.826.6737)

Contact Us

Cooper University Health Care's Main Website

This website is for informational purposes only and not intended as medical advice or a substitute for a consultation with a professional healthcare provider.

All content © 2022 Cooper University Health Care.

Menu
Education Home
Health System Home
Search

Main Navigation

  • RESIDENCIES
  • FELLOWSHIPS
  • NURSING AT COOPER
  • RESEARCH
  • INNOVATION CENTER

Tired of Typing? Let's Talk.

Call 1.800.8.COOPER to speak with a Cooper representative who can answer your questions, schedule appointments and register you for classes, events and support groups.

Representatives are available Monday through Friday from 8 a.m. - 5 p.m. to assist you.

Enter your phone number below and we will connect you for free.