Skip to main content
Home
Menu

Search Cooper


Popular Terms and Topics

  • Internal Medicine Residency
  • Surgical Critical Care Fellowship
  • Gastroenterology Fellowship
  • Neurology Residency
  • Cooper Research
Breadcrumb
Home  /   Med Ed Blogs
What's the Diagnosis? By Dr. Reid Phillips
EM Daily

What's the Diagnosis? By Dr. Reid Phillips

December 27 2017
A 15 yo boy with no PMH presents with 24 hours of severe
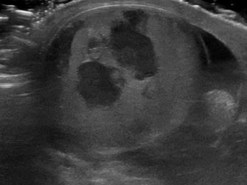
Advanced Practice: Linear Probe for Indeterminate 1st Trimester Transabdominal Ultrasound
EM Daily

Advanced Practice: Linear Probe for Indeterminate 1st Trimester Transabdominal Ultrasound

December 26 2017
Left: Trans-abdominal curvilinear probe Right: Trans
Advanced Practice: Linear Probe for Indeterminate 1st Trimester Transabdominal Ultrasound
EM Daily

Advanced Practice: Linear Probe for Indeterminate 1st Trimester Transabdominal Ultrasound

December 26 2017
Left: Trans-abdominal curvilinear probe Right: Trans
Back to Basics: Dental Fractures
EM Daily

Back to Basics: Dental Fractures

December 25 2017
Fractures involving Enamel Only (Ellis I): Considered
Back to Basics: Dental Fractures
EM Daily

Back to Basics: Dental Fractures

December 25 2017
Fractures involving Enamel Only (Ellis I): Considered
EM Daily

Board Review: Local Anesthesia

December 23 2017
Local Anesthesia You are performing a laceration repair in
EM Daily

Board Review: Local Anesthesia

December 23 2017
Local Anesthesia You are performing a laceration repair in
What's the Diagnosis? Critical Care Edition By Dr. Kim Chavez
EM Daily

What's the Diagnosis? Critical Care Edition By Dr. Kim Chavez

December 22 2017
A young female comes in with persistent unilateral clear
What's the Diagnosis? Critical Care Edition By Dr. Kim Chavez
EM Daily

What's the Diagnosis? Critical Care Edition By Dr. Kim Chavez

December 22 2017
A young female comes in with persistent unilateral clear
Connect the Docs

Reimbursement Policy

December 21 2017
Please see the attached Reimbursement Policy for your
  • First page
  • Previous page
  • …
  • Page 221
  • Page 222
  • Current page 223
  • Page 224
  • Page 225
  • …
  • Next page
  • Last page
Blogs

Hospital Main Number

856.342.2000

Main Hospital Website

COOPERHEALTH.ORG

Cooper Health

Programs

  • Residencies
  • Fellowships
  • Nursing Education
  • Allied Health
  • CME
  • Life Support Training

More from Cooper

  • Research
  • Resident Wellness
  • Medical School
  • Our Campus
  • Main Hospital
  • Privacy Statement
  • FastCommand

1.800.8.COOPER (1.800.826.6737)

Contact Us

Cooper University Health Care's Main Website

This website is for informational purposes only and not intended as medical advice or a substitute for a consultation with a professional healthcare provider.

All content © 2022 Cooper University Health Care.

Menu
Education Home
Health System Home
Search

Main Navigation

  • RESIDENCIES
  • FELLOWSHIPS
  • NURSING AT COOPER
  • RESEARCH
  • INNOVATION CENTER

Tired of Typing? Let's Talk.

Call 1.800.8.COOPER to speak with a Cooper representative who can answer your questions, schedule appointments and register you for classes, events and support groups.

Representatives are available Monday through Friday from 8 a.m. - 5 p.m. to assist you.

Enter your phone number below and we will connect you for free.