Skip to main content
Home
Menu

Search Cooper


Popular Terms and Topics

  • Internal Medicine Residency
  • Surgical Critical Care Fellowship
  • Gastroenterology Fellowship
  • Neurology Residency
  • Cooper Research
Breadcrumb
Home  /   Med Ed Blogs
Connect the Docs

Cooper Physician Leadership Development Program

December 21 2017
Cooper Physician Leadership Development Program Cooper
#EMconf: Frostbite Basics
EM Daily

#EMconf: Frostbite Basics

December 21 2017
Frostbite Basics : -Have high suspicion for injury when
#EMconf: Frostbite Basics
EM Daily

#EMconf: Frostbite Basics

December 21 2017
Frostbite Basics : -Have high suspicion for injury when
What's the Diagnosis? By Dr. Lauren Murphy
EM Daily

What's the Diagnosis? By Dr. Lauren Murphy

December 20 2017
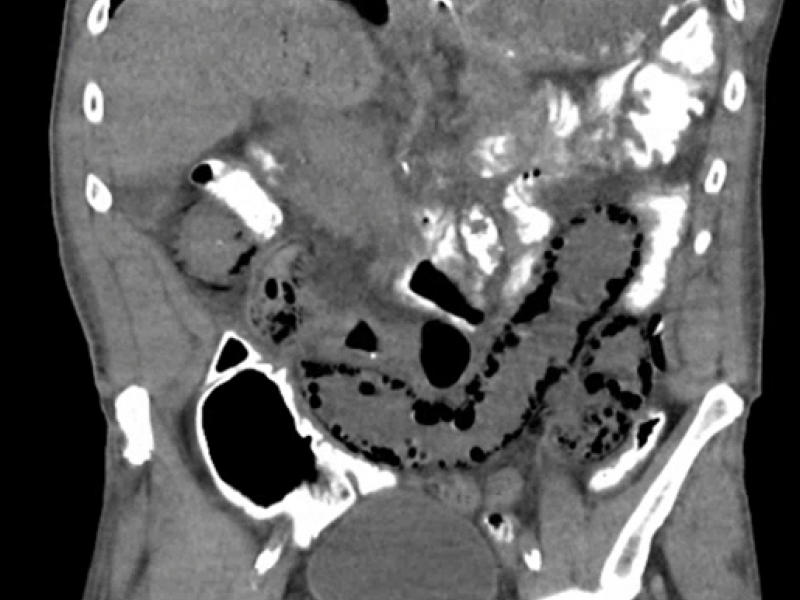
A 68 yo M with a past medical history of HTN, CKD, CAD and
What's the Diagnosis? By Dr. Lauren Murphy
EM Daily

What's the Diagnosis? By Dr. Lauren Murphy

December 20 2017
A 68 yo M with a past medical history of HTN, CKD, CAD and
Advanced Practice: Flexor Tenosynovitis
EM Daily

Advanced Practice: Flexor Tenosynovitis

December 19 2017
Advanced Practice: Flexor Tenosynovitis
EM Daily

Advanced Practice: Flexor Tenosynovitis

December 19 2017
Connect the Docs

My Rounding Tool Admin Team

December 18 2017
If you have any questions regarding using MyRounding tool
Back to Basics:  Trench Foot
EM Daily

Back to Basics: Trench Foot

December 18 2017
Trench foot · Temperatures above freezing + wet conditions =
Back to Basics:  Trench Foot
EM Daily

Back to Basics: Trench Foot

December 18 2017
Trench foot · Temperatures above freezing + wet conditions =
  • First page
  • Previous page
  • …
  • Page 222
  • Page 223
  • Current page 224
  • Page 225
  • Page 226
  • …
  • Next page
  • Last page
Blogs

Hospital Main Number

856.342.2000

Main Hospital Website

COOPERHEALTH.ORG

Cooper Health

Programs

  • Residencies
  • Fellowships
  • Nursing Education
  • Allied Health
  • CME
  • Life Support Training

More from Cooper

  • Research
  • Resident Wellness
  • Medical School
  • Our Campus
  • Main Hospital
  • Privacy Statement
  • FastCommand

1.800.8.COOPER (1.800.826.6737)

Contact Us

Cooper University Health Care's Main Website

This website is for informational purposes only and not intended as medical advice or a substitute for a consultation with a professional healthcare provider.

All content © 2022 Cooper University Health Care.

Menu
Education Home
Health System Home
Search

Main Navigation

  • RESIDENCIES
  • FELLOWSHIPS
  • NURSING AT COOPER
  • RESEARCH
  • INNOVATION CENTER

Tired of Typing? Let's Talk.

Call 1.800.8.COOPER to speak with a Cooper representative who can answer your questions, schedule appointments and register you for classes, events and support groups.

Representatives are available Monday through Friday from 8 a.m. - 5 p.m. to assist you.

Enter your phone number below and we will connect you for free.