Skip to main content
Home
Menu

Search Cooper


Popular Terms and Topics

  • Internal Medicine Residency
  • Surgical Critical Care Fellowship
  • Gastroenterology Fellowship
  • Neurology Residency
  • Cooper Research
Breadcrumb
Home  /   Med Ed Blogs
EM Daily

A Week in Review: Dec 11 - 16th

December 17 2017
Monday: Back to Basics - Nasal Septal Hematoma What: blood
EM Daily

A Week in Review: Dec 11 - 16th

December 17 2017
Monday: Back to Basics - Nasal Septal Hematoma What: blood
EM Daily

Board Review: Crystal Induced Synovitis

December 16 2017
55 year old male presents to your emergency department with
EM Daily

Board Review: Crystal Induced Synovitis

December 16 2017
55 year old male presents to your emergency department with
EM Daily

EMDaily PodCast: An Interesting Case from the ED

December 15 2017
The EMDaily Podcast is back with Dr. Kara Huston. Check out
EM Daily

EMDaily PodCast: An Interesting Case from the ED

December 15 2017
The EMDaily Podcast is back with Dr. Kara Huston. Check out
EM Daily

#EMconf: Can't Miss Diagnoses of Syncope

December 14 2017
Cardiovascular: • Outflow Obstruction : • Aortic Stenosis •
EM Daily

#EMconf: Can't Miss Diagnoses of Syncope

December 14 2017
Cardiovascular: • Outflow Obstruction : • Aortic Stenosis •
Introducing Epic Learning Home Dashboards
Connect the Docs

Introducing Epic Learning Home Dashboards

December 13 2017
See below how to access the Epic Learning Home Dashboard
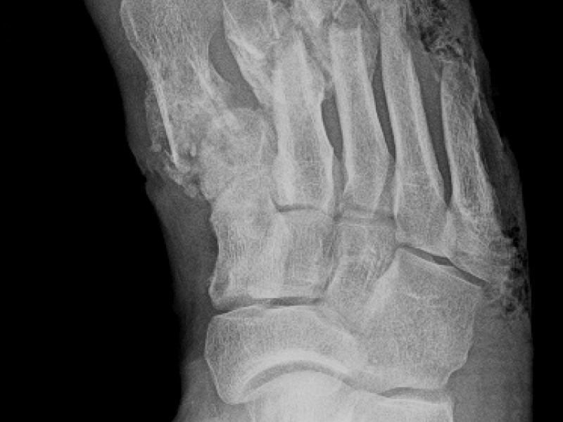
What's the Diagnosis? By Dr. Lauren Murphy
EM Daily

What's the Diagnosis? By Dr. Lauren Murphy

December 13 2017
A 26 yo M presents to the ED with a chief complaint of R
  • First page
  • Previous page
  • …
  • Page 223
  • Page 224
  • Current page 225
  • Page 226
  • Page 227
  • …
  • Next page
  • Last page
Blogs

Hospital Main Number

856.342.2000

Main Hospital Website

COOPERHEALTH.ORG

Cooper Health

Programs

  • Residencies
  • Fellowships
  • Nursing Education
  • Allied Health
  • CME
  • Life Support Training

More from Cooper

  • Research
  • Resident Wellness
  • Medical School
  • Our Campus
  • Main Hospital
  • Privacy Statement
  • FastCommand

1.800.8.COOPER (1.800.826.6737)

Contact Us

Cooper University Health Care's Main Website

This website is for informational purposes only and not intended as medical advice or a substitute for a consultation with a professional healthcare provider.

All content © 2022 Cooper University Health Care.

Menu
Education Home
Health System Home
Search

Main Navigation

  • RESIDENCIES
  • FELLOWSHIPS
  • NURSING AT COOPER
  • RESEARCH
  • INNOVATION CENTER

Tired of Typing? Let's Talk.

Call 1.800.8.COOPER to speak with a Cooper representative who can answer your questions, schedule appointments and register you for classes, events and support groups.

Representatives are available Monday through Friday from 8 a.m. - 5 p.m. to assist you.

Enter your phone number below and we will connect you for free.