Skip to main content
Home
Menu

Search Cooper


Popular Terms and Topics

  • Internal Medicine Residency
  • Surgical Critical Care Fellowship
  • Gastroenterology Fellowship
  • Neurology Residency
  • Cooper Research
Breadcrumb
Home  /   Med Ed Blogs
What's the Diagnosis?  By Dr. Lauren Murphy
EM Daily

What's the Diagnosis? By Dr. Lauren Murphy

June 21 2017
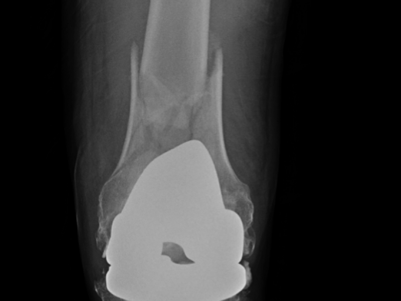
A 63 year-old male with a history of left knee replacement c
What's the Diagnosis?  By Dr. Lauren Murphy
EM Daily

What's the Diagnosis? By Dr. Lauren Murphy

June 21 2017
A 63 year-old male with a history of left knee replacement c
Connect the Docs

Standards of the Month

June 20 2017
June - Managing up others: Take a moment to speak well of
NATIONAL BACKORDER 6.20.2017
Connect the Docs

NATIONAL BACKORDER 6.20.2017

June 20 2017
Advanced Practice: Ovarian Hyperstimulation
EM Daily

Advanced Practice: Ovarian Hyperstimulation

June 20 2017
Advanced Practice: Ovarian Hyperstimulation
EM Daily

Advanced Practice: Ovarian Hyperstimulation

June 20 2017
“Are You Ready For The Looming Health Care Showdown In Congress”
Connect the Docs

“Are You Ready For The Looming Health Care Showdown In Congress”

June 19 2017
CCM Daily

Dosing During Dialysis: Know Your Antibiotics!

June 19 2017
Antibiotic dosing matters....especially while your patient
EM Daily Presents the RESUS/EM Conference
EM Daily

EM Daily Presents the RESUS/EM Conference

June 19 2017
Speaker bios (click here )
EM Daily Presents the RESUS/EM Conference
EM Daily

EM Daily Presents the RESUS/EM Conference

June 19 2017
Speaker bios (click here )
  • First page
  • Previous page
  • …
  • Page 259
  • Page 260
  • Current page 261
  • Page 262
  • Page 263
  • …
  • Next page
  • Last page
Blogs

Hospital Main Number

856.342.2000

Main Hospital Website

COOPERHEALTH.ORG

Cooper Health

Programs

  • Residencies
  • Fellowships
  • Nursing Education
  • Allied Health
  • CME
  • Life Support Training

More from Cooper

  • Research
  • Resident Wellness
  • Medical School
  • Our Campus
  • Main Hospital
  • Privacy Statement
  • FastCommand

1.800.8.COOPER (1.800.826.6737)

Contact Us

Cooper University Health Care's Main Website

This website is for informational purposes only and not intended as medical advice or a substitute for a consultation with a professional healthcare provider.

All content © 2022 Cooper University Health Care.

Menu
Education Home
Health System Home
Search

Main Navigation

  • RESIDENCIES
  • FELLOWSHIPS
  • NURSING AT COOPER
  • RESEARCH
  • INNOVATION CENTER

Tired of Typing? Let's Talk.

Call 1.800.8.COOPER to speak with a Cooper representative who can answer your questions, schedule appointments and register you for classes, events and support groups.

Representatives are available Monday through Friday from 8 a.m. - 5 p.m. to assist you.

Enter your phone number below and we will connect you for free.