Skip to main content
Home
Menu

Search Cooper


Popular Terms and Topics

  • Internal Medicine Residency
  • Surgical Critical Care Fellowship
  • Gastroenterology Fellowship
  • Neurology Residency
  • Cooper Research
Breadcrumb
Home  /   Med Ed Blogs
Medical Practices Update from Kim Bass, VP of Ambulatory Operations
Connect the Docs

Medical Practices Update from Kim Bass, VP of Ambulatory Operations

June 14 2017
Medical Practices Updates: It's an exciting time to be in
What's the Diagnosis? By Dr. Michael Tom
EM Daily

What's the Diagnosis? By Dr. Michael Tom

June 14 2017
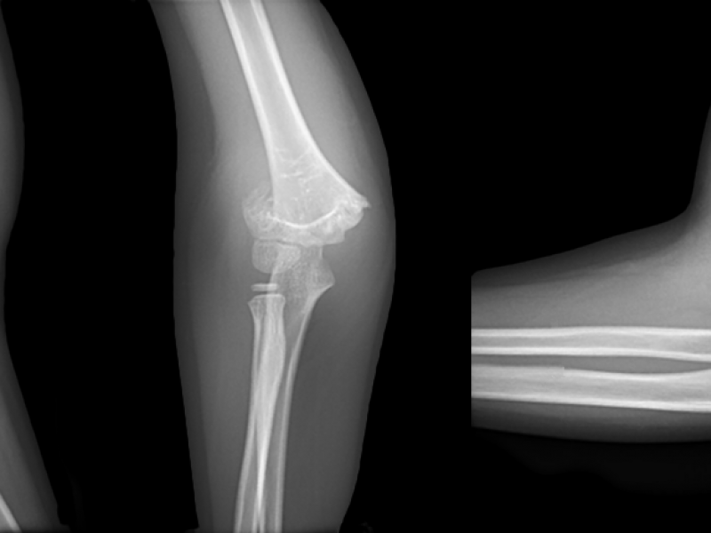
A 6 year-old girl fell from the monkey bars on her
What's the Diagnosis? By Dr. Michael Tom
EM Daily

What's the Diagnosis? By Dr. Michael Tom

June 14 2017
A 6 year-old girl fell from the monkey bars on her
EM Daily

Is there a doctor on the plane?

June 13 2017
As emergency medicine physicians, we are trained to handle
EM Daily

Is there a doctor on the plane?

June 13 2017
As emergency medicine physicians, we are trained to handle
Connect the Docs

Interacting with Surveyors

June 12 2017
Today we "PinPoint": Interacting with Surveyors Are you
Connect the Docs

Time-Out

June 12 2017
Today we "PinPoint": Time-Out Must be performed prior to
Connect the Docs

Restraint Order Tips

June 12 2017
Today we "PinPoint": Restraint Order Tips Use of restraint
Back to the Basics: Poison Ivy (Toxicodendron) Dermatitis
EM Daily

Back to the Basics: Poison Ivy (Toxicodendron) Dermatitis

June 12 2017
Exposure results from contact with one of the following 3
Back to the Basics: Poison Ivy (Toxicodendron) Dermatitis
EM Daily

Back to the Basics: Poison Ivy (Toxicodendron) Dermatitis

June 12 2017
Exposure results from contact with one of the following 3
  • First page
  • Previous page
  • …
  • Page 261
  • Page 262
  • Current page 263
  • Page 264
  • Page 265
  • …
  • Next page
  • Last page
Blogs

Hospital Main Number

856.342.2000

Main Hospital Website

COOPERHEALTH.ORG

Cooper Health

Programs

  • Residencies
  • Fellowships
  • Nursing Education
  • Allied Health
  • CME
  • Life Support Training

More from Cooper

  • Research
  • Resident Wellness
  • Medical School
  • Our Campus
  • Main Hospital
  • Privacy Statement
  • FastCommand

1.800.8.COOPER (1.800.826.6737)

Contact Us

Cooper University Health Care's Main Website

This website is for informational purposes only and not intended as medical advice or a substitute for a consultation with a professional healthcare provider.

All content © 2022 Cooper University Health Care.

Menu
Education Home
Health System Home
Search

Main Navigation

  • RESIDENCIES
  • FELLOWSHIPS
  • NURSING AT COOPER
  • RESEARCH
  • INNOVATION CENTER

Tired of Typing? Let's Talk.

Call 1.800.8.COOPER to speak with a Cooper representative who can answer your questions, schedule appointments and register you for classes, events and support groups.

Representatives are available Monday through Friday from 8 a.m. - 5 p.m. to assist you.

Enter your phone number below and we will connect you for free.