Skip to main content
Home
Menu

Search Cooper


Popular Terms and Topics

  • Internal Medicine Residency
  • Surgical Critical Care Fellowship
  • Gastroenterology Fellowship
  • Neurology Residency
  • Cooper Research
Breadcrumb
Home  /   Med Ed Blogs
Week in Review June 5th - June 9th
EM Daily

Week in Review June 5th - June 9th

June 11 2017
Monday - Back to Basics: Pearls on some of the less common
Week in Review June 5th - June 9th
EM Daily

Week in Review June 5th - June 9th

June 11 2017
Monday - Back to Basics: Pearls on some of the less common
EM Daily

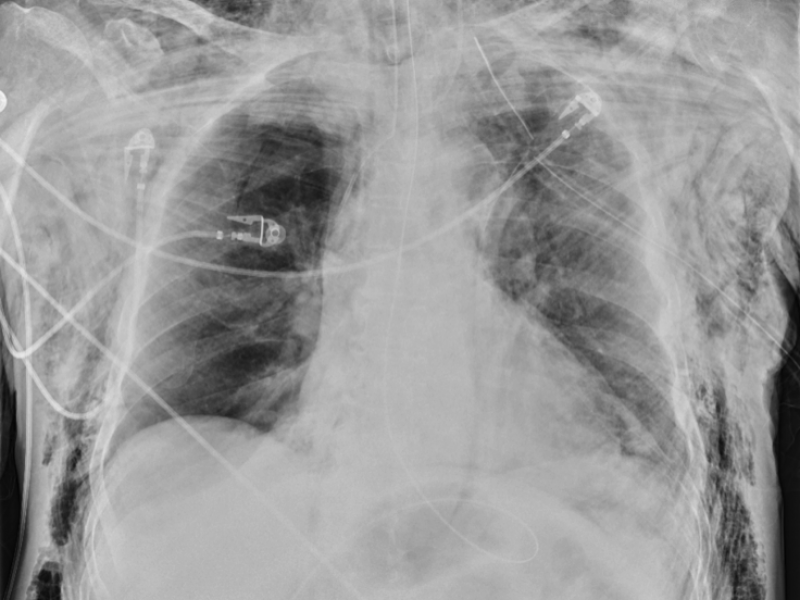
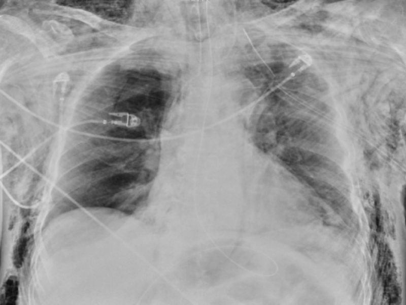
#GuideWireProblems by Dr. Michael Coletta

June 09 2017
For all of us who have placed a central line with the
EM Daily

#GuideWireProblems by Dr. Michael Coletta

June 09 2017
For all of us who have placed a central line with the
EM Daily

#EMconf: TB pearls

June 08 2017
Think of indolent TB presentations : cough for 2 weeks
EM Daily

#EMconf: TB pearls

June 08 2017
Think of indolent TB presentations : cough for 2 weeks
What's the Diagnosis? By Dr. Sarab Sodhi
EM Daily

What's the Diagnosis? By Dr. Sarab Sodhi

June 07 2017
A 55 year old male presents to the ED in respiratory
What's the Diagnosis? By Dr. Sarab Sodhi
EM Daily

What's the Diagnosis? By Dr. Sarab Sodhi

June 07 2017
A 55 year old male presents to the ED in respiratory
EM Daily

Fish Hook Removal in the Emergency Department

June 06 2017
Techniques 1) Pull Through Technique - Grasp shaft of hook
EM Daily

Fish Hook Removal in the Emergency Department

June 06 2017
Techniques 1) Pull Through Technique - Grasp shaft of hook
  • First page
  • Previous page
  • …
  • Page 262
  • Page 263
  • Current page 264
  • Page 265
  • Page 266
  • …
  • Next page
  • Last page
Blogs

Hospital Main Number

856.342.2000

Main Hospital Website

COOPERHEALTH.ORG

Cooper Health

Programs

  • Residencies
  • Fellowships
  • Nursing Education
  • Allied Health
  • CME
  • Life Support Training

More from Cooper

  • Research
  • Resident Wellness
  • Medical School
  • Our Campus
  • Main Hospital
  • Privacy Statement
  • FastCommand

1.800.8.COOPER (1.800.826.6737)

Contact Us

Cooper University Health Care's Main Website

This website is for informational purposes only and not intended as medical advice or a substitute for a consultation with a professional healthcare provider.

All content © 2022 Cooper University Health Care.

Menu
Education Home
Health System Home
Search

Main Navigation

  • RESIDENCIES
  • FELLOWSHIPS
  • NURSING AT COOPER
  • RESEARCH
  • INNOVATION CENTER

Tired of Typing? Let's Talk.

Call 1.800.8.COOPER to speak with a Cooper representative who can answer your questions, schedule appointments and register you for classes, events and support groups.

Representatives are available Monday through Friday from 8 a.m. - 5 p.m. to assist you.

Enter your phone number below and we will connect you for free.