Skip to main content
Home
Menu

Search Cooper


Popular Terms and Topics

  • Internal Medicine Residency
  • Surgical Critical Care Fellowship
  • Gastroenterology Fellowship
  • Neurology Residency
  • Cooper Research
Breadcrumb
Home  /   Med Ed Blogs
EM Daily

Acute Triggers of Atrial Fibrillation

May 29 2017
Common triggers for Atrial Fibrillation in the ED
EM Daily

Acute Triggers of Atrial Fibrillation

May 29 2017
Common triggers for Atrial Fibrillation in the ED
Connect the Docs

High Reliability in Healthcare │ Webinar

May 26 2017
High Reliability in Healthcare │ Webinar Creating the
Physician Town Hall Meeting-Tuesday June 27th
Connect the Docs

Physician Town Hall Meeting-Tuesday June 27th

May 26 2017
Click here to see the schedule for all the Town Hall
Provider of the Quarter Nomination
Connect the Docs

Provider of the Quarter Nomination

May 26 2017
Click here for nomination form
EM Daily

#EMconf: Antibiotic Side Effects

May 25 2017
Side Effects of Common Antibiotics Sulfonamides: Erythema
EM Daily

#EMconf: Antibiotic Side Effects

May 25 2017
Side Effects of Common Antibiotics Sulfonamides: Erythema
Connect the Docs

“Spring APP meeting welcomes Margaret Fitzgerald”

May 24 2017
Please Join Us... Spring 2017 Advanced Practice Provider
What's the Diagnosis?  By Dr. Sarab Sodhi
EM Daily

What's the Diagnosis? By Dr. Sarab Sodhi

May 24 2017
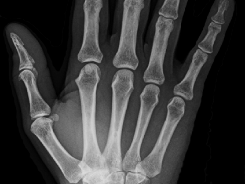
A 53 y.o. female complains of pain in her right wrist after
What's the Diagnosis?  By Dr. Sarab Sodhi
EM Daily

What's the Diagnosis? By Dr. Sarab Sodhi

May 24 2017
A 53 y.o. female complains of pain in her right wrist after
  • First page
  • Previous page
  • …
  • Page 264
  • Page 265
  • Current page 266
  • Page 267
  • Page 268
  • …
  • Next page
  • Last page
Blogs

Hospital Main Number

856.342.2000

Main Hospital Website

COOPERHEALTH.ORG

Cooper Health

Programs

  • Residencies
  • Fellowships
  • Nursing Education
  • Allied Health
  • CME
  • Life Support Training

More from Cooper

  • Research
  • Resident Wellness
  • Medical School
  • Our Campus
  • Main Hospital
  • Privacy Statement
  • FastCommand

1.800.8.COOPER (1.800.826.6737)

Contact Us

Cooper University Health Care's Main Website

This website is for informational purposes only and not intended as medical advice or a substitute for a consultation with a professional healthcare provider.

All content © 2022 Cooper University Health Care.

Menu
Education Home
Health System Home
Search

Main Navigation

  • RESIDENCIES
  • FELLOWSHIPS
  • NURSING AT COOPER
  • RESEARCH
  • INNOVATION CENTER

Tired of Typing? Let's Talk.

Call 1.800.8.COOPER to speak with a Cooper representative who can answer your questions, schedule appointments and register you for classes, events and support groups.

Representatives are available Monday through Friday from 8 a.m. - 5 p.m. to assist you.

Enter your phone number below and we will connect you for free.