Skip to main content
Home
Menu

Search Cooper


Popular Terms and Topics

  • Internal Medicine Residency
  • Surgical Critical Care Fellowship
  • Gastroenterology Fellowship
  • Neurology Residency
  • Cooper Research
Breadcrumb
Home  /   Med Ed Blogs
EM Daily

Advanced Practice: Management of Acute Chest Syndrome with Dr. Lou Argentine

May 23 2017
5 steps to Managing Acute Chest Syndrome in adult population
EM Daily

Advanced Practice: Management of Acute Chest Syndrome with Dr. Lou Argentine

May 23 2017
5 steps to Managing Acute Chest Syndrome in adult population
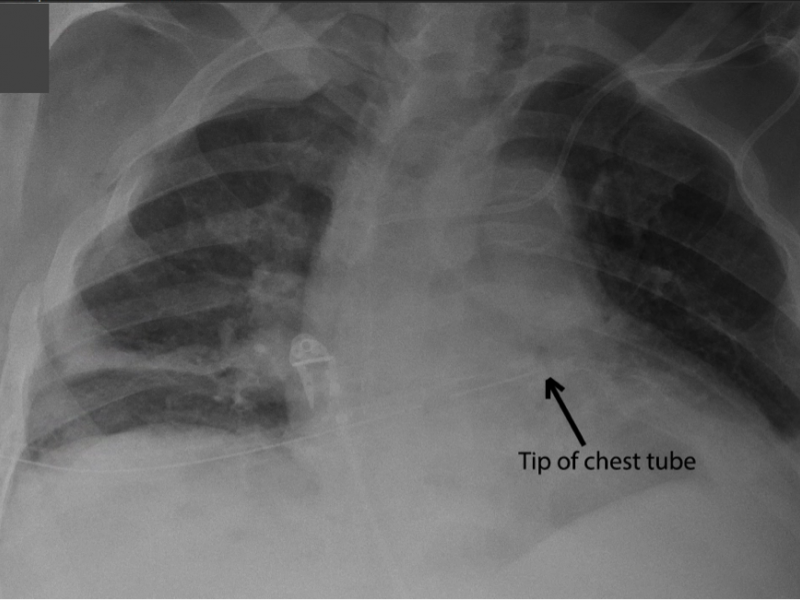
Back to Basics:  Chest Tube Insertion
EM Daily

Back to Basics: Chest Tube Insertion

May 22 2017
Tricks of the Trade for Inserting a Surgical Chest Tube
Back to Basics:  Chest Tube Insertion
EM Daily

Back to Basics: Chest Tube Insertion

May 22 2017
Tricks of the Trade for Inserting a Surgical Chest Tube
Human Resources Business Partners
Connect the Docs

Human Resources Business Partners

May 19 2017
Tracy Sola and Walter Orengo are our Business partners for
Your 5 Moments for Hand Hygiene
Connect the Docs

Your 5 Moments for Hand Hygiene

May 19 2017
What’s the Diagnosis? The Critical Care edition Case by Dr. Grace Lam
EM Daily

What’s the Diagnosis? The Critical Care edition Case by Dr. Grace Lam

May 19 2017
54 year-old male with a known peanut allergy presents with
What’s the Diagnosis? The Critical Care edition Case by Dr. Grace Lam
EM Daily

What’s the Diagnosis? The Critical Care edition Case by Dr. Grace Lam

May 19 2017
54 year-old male with a known peanut allergy presents with
Connect the Docs

Input Needed - Ambulatory Practitioner Scheduling and Template Issues

May 18 2017
A multidisciplinary group consisting of physician
EM Daily

#EMconf: Wisdom from New Graduates

May 18 2017
Collaboration is KEY !-Be humble, ask for advice from all
  • First page
  • Previous page
  • …
  • Page 265
  • Page 266
  • Current page 267
  • Page 268
  • Page 269
  • …
  • Next page
  • Last page
Blogs

Hospital Main Number

856.342.2000

Main Hospital Website

COOPERHEALTH.ORG

Cooper Health

Programs

  • Residencies
  • Fellowships
  • Nursing Education
  • Allied Health
  • CME
  • Life Support Training

More from Cooper

  • Research
  • Resident Wellness
  • Medical School
  • Our Campus
  • Main Hospital
  • Privacy Statement
  • FastCommand

1.800.8.COOPER (1.800.826.6737)

Contact Us

Cooper University Health Care's Main Website

This website is for informational purposes only and not intended as medical advice or a substitute for a consultation with a professional healthcare provider.

All content © 2022 Cooper University Health Care.

Menu
Education Home
Health System Home
Search

Main Navigation

  • RESIDENCIES
  • FELLOWSHIPS
  • NURSING AT COOPER
  • RESEARCH
  • INNOVATION CENTER

Tired of Typing? Let's Talk.

Call 1.800.8.COOPER to speak with a Cooper representative who can answer your questions, schedule appointments and register you for classes, events and support groups.

Representatives are available Monday through Friday from 8 a.m. - 5 p.m. to assist you.

Enter your phone number below and we will connect you for free.