Skip to main content
Home
Menu

Search Cooper


Popular Terms and Topics

  • Internal Medicine Residency
  • Surgical Critical Care Fellowship
  • Gastroenterology Fellowship
  • Neurology Residency
  • Cooper Research
Breadcrumb
Home  /   Med Ed Blogs
EM Daily

#EMconf: Wisdom from New Graduates

May 18 2017
Collaboration is KEY !-Be humble, ask for advice from all
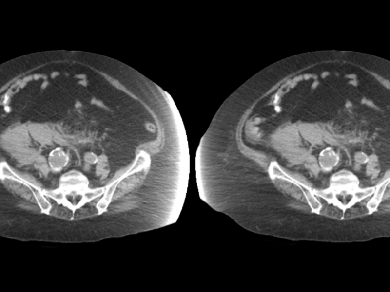
What's the Diagnosis? By Dr. Sarab Sodhi
EM Daily

What's the Diagnosis? By Dr. Sarab Sodhi

May 17 2017
A 78 year-old female presents with right-sided, sharp
What's the Diagnosis? By Dr. Sarab Sodhi
EM Daily

What's the Diagnosis? By Dr. Sarab Sodhi

May 17 2017
A 78 year-old female presents with right-sided, sharp
"HUGS" as a Novel Treatment for Gastroparesis
EM Daily

"HUGS" as a Novel Treatment for Gastroparesis

May 16 2017
Gastroparesis: Delayed gastric emptying without mechanical
"HUGS" as a Novel Treatment for Gastroparesis
EM Daily

"HUGS" as a Novel Treatment for Gastroparesis

May 16 2017
Gastroparesis: Delayed gastric emptying without mechanical
Connect the Docs

Physician Burnout

May 16 2017
Please read the article below on Physician Burnout. It might
Back to Basics:  TCA Toxicity - EKG Findings
EM Daily

Back to Basics: TCA Toxicity - EKG Findings

May 15 2017
Tricyclic Antidepressant Mechanism of Action: •Na-channel
Back to Basics:  TCA Toxicity - EKG Findings
EM Daily

Back to Basics: TCA Toxicity - EKG Findings

May 15 2017
Tricyclic Antidepressant Mechanism of Action: •Na-channel
EM Daily

#EMconf: Outpatient treatment for PE

May 11 2017
Clinical Question: Is expedited outpatient treatment of low
EM Daily

#EMconf: Outpatient treatment for PE

May 11 2017
Clinical Question: Is expedited outpatient treatment of low
  • First page
  • Previous page
  • …
  • Page 266
  • Page 267
  • Current page 268
  • Page 269
  • Page 270
  • …
  • Next page
  • Last page
Blogs

Hospital Main Number

856.342.2000

Main Hospital Website

COOPERHEALTH.ORG

Cooper Health

Programs

  • Residencies
  • Fellowships
  • Nursing Education
  • Allied Health
  • CME
  • Life Support Training

More from Cooper

  • Research
  • Resident Wellness
  • Medical School
  • Our Campus
  • Main Hospital
  • Privacy Statement
  • FastCommand

1.800.8.COOPER (1.800.826.6737)

Contact Us

Cooper University Health Care's Main Website

This website is for informational purposes only and not intended as medical advice or a substitute for a consultation with a professional healthcare provider.

All content © 2022 Cooper University Health Care.

Menu
Education Home
Health System Home
Search

Main Navigation

  • RESIDENCIES
  • FELLOWSHIPS
  • NURSING AT COOPER
  • RESEARCH
  • INNOVATION CENTER

Tired of Typing? Let's Talk.

Call 1.800.8.COOPER to speak with a Cooper representative who can answer your questions, schedule appointments and register you for classes, events and support groups.

Representatives are available Monday through Friday from 8 a.m. - 5 p.m. to assist you.

Enter your phone number below and we will connect you for free.