Skip to main content
Home
Menu

Search Cooper


Popular Terms and Topics

  • Internal Medicine Residency
  • Surgical Critical Care Fellowship
  • Gastroenterology Fellowship
  • Neurology Residency
  • Cooper Research
Breadcrumb
Home  /   Med Ed Blogs
Connect the Docs

September 2016 Stoplight

September 19 2016
sept-2016stoplight
Connect the Docs

Physician CME/Travel Stipend

September 15 2016
In addition to your $3500,oo stipend, following additional
Connect the Docs

Introducing The Cooper VOICE

September 15 2016
Health care is changing rapidly. For hospitals and health
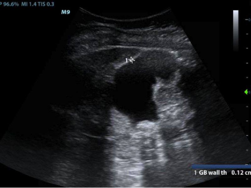
Imaging Case Answer: Cholecystitis vs Cholelithiasis
EM Daily

Imaging Case Answer: Cholecystitis vs Cholelithiasis

August 30 2016
Answer : 5. Number of gallstones. 1, 2, 3, and 4 (also known
EM Daily

Imaging Case Answer: Cholecystitis vs Cholelithiasis

August 30 2016
Answer : 5. Number of gallstones. 1, 2, 3, and 4 (also known
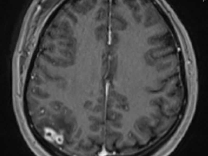
Imaging Case Answer: Neurocysticercosis
EM Daily

Imaging Case Answer: Neurocysticercosis

August 25 2016
The diagnosis of Neurocysticercosis was made by the
Imaging Case Answer: Neurocysticercosis
EM Daily

Imaging Case Answer: Neurocysticercosis

August 25 2016
The diagnosis of Neurocysticercosis was made by the
Connect the Docs

Are you making the most of your Physician’s Retirement Benefits at Cooper University Health Care?

August 22 2016
Are you making the most of your Physician's Retirement
Connect the Docs

Point of Care Tool DynaMed Plus & Free App

August 22 2016
DynaMed Plus is an easy to use evidence-based resource that
Connect the Docs

Positive Feedback From Patients-2nd Quarter 2016

August 09 2016
View the list of positive comments about our physicians
  • First page
  • Previous page
  • …
  • Page 306
  • Page 307
  • Current page 308
  • Page 309
  • Page 310
  • …
  • Next page
  • Last page
Blogs

Hospital Main Number

856.342.2000

Main Hospital Website

COOPERHEALTH.ORG

Cooper Health

Programs

  • Residencies
  • Fellowships
  • Nursing Education
  • Allied Health
  • CME
  • Life Support Training

More from Cooper

  • Research
  • Resident Wellness
  • Medical School
  • Our Campus
  • Main Hospital
  • Privacy Statement
  • FastCommand

1.800.8.COOPER (1.800.826.6737)

Contact Us

Cooper University Health Care's Main Website

This website is for informational purposes only and not intended as medical advice or a substitute for a consultation with a professional healthcare provider.

All content © 2022 Cooper University Health Care.

Menu
Education Home
Health System Home
Search

Main Navigation

  • RESIDENCIES
  • FELLOWSHIPS
  • NURSING AT COOPER
  • RESEARCH
  • INNOVATION CENTER

Tired of Typing? Let's Talk.

Call 1.800.8.COOPER to speak with a Cooper representative who can answer your questions, schedule appointments and register you for classes, events and support groups.

Representatives are available Monday through Friday from 8 a.m. - 5 p.m. to assist you.

Enter your phone number below and we will connect you for free.