Skip to main content
Home
Menu

Search Cooper


Popular Terms and Topics

  • Internal Medicine Residency
  • Surgical Critical Care Fellowship
  • Gastroenterology Fellowship
  • Neurology Residency
  • Cooper Research
Breadcrumb
Home  /   Med Ed Blogs
EM Daily

Orthopedic Injuries Around the NFL: Dez Bryant 's Tibial Plateau Fracture

November 08 2016
In Week 3 of this NFL season, Dallas Cowboys wide receiver
Imaging Case Answer: Foreign Body
EM Daily

Imaging Case Answer: Foreign Body

November 07 2016
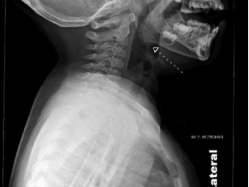
Diagnosis: Fishbone lodged in oropharynx. Presentation
Imaging Case Answer: Foreign Body
EM Daily

Imaging Case Answer: Foreign Body

November 07 2016
Diagnosis: Fishbone lodged in oropharynx. Presentation
EM Daily

The Basics of Ankle Sprains

November 07 2016
Ankle sprains are one of the most common traumatic injuries
EM Daily

The Basics of Ankle Sprains

November 07 2016
Ankle sprains are one of the most common traumatic injuries
EM Daily

A Week in Review: Oct 31st-Nov 5th

November 06 2016
When treating someone with excited delirium syndrome
EM Daily

A Week in Review: Oct 31st-Nov 5th

November 06 2016
When treating someone with excited delirium syndrome
EM Daily

Sound and Your Sleep

November 05 2016
Practicing in an Emergency Department gives any Emergency
EM Daily

Sound and Your Sleep

November 05 2016
Practicing in an Emergency Department gives any Emergency
EM Daily

Antibiotic Use in Cirrhotic Patients with Upper GI Bleeds

November 04 2016
Antibiotic use in patients with upper GI bleeding and
  • First page
  • Previous page
  • …
  • Page 304
  • Page 305
  • Current page 306
  • Page 307
  • Page 308
  • …
  • Next page
  • Last page
Blogs

Hospital Main Number

856.342.2000

Main Hospital Website

COOPERHEALTH.ORG

Cooper Health

Programs

  • Residencies
  • Fellowships
  • Nursing Education
  • Allied Health
  • CME
  • Life Support Training

More from Cooper

  • Research
  • Resident Wellness
  • Medical School
  • Our Campus
  • Main Hospital
  • Privacy Statement
  • FastCommand

1.800.8.COOPER (1.800.826.6737)

Contact Us

Cooper University Health Care's Main Website

This website is for informational purposes only and not intended as medical advice or a substitute for a consultation with a professional healthcare provider.

All content © 2022 Cooper University Health Care.

Menu
Education Home
Health System Home
Search

Main Navigation

  • RESIDENCIES
  • FELLOWSHIPS
  • NURSING AT COOPER
  • RESEARCH
  • INNOVATION CENTER

Tired of Typing? Let's Talk.

Call 1.800.8.COOPER to speak with a Cooper representative who can answer your questions, schedule appointments and register you for classes, events and support groups.

Representatives are available Monday through Friday from 8 a.m. - 5 p.m. to assist you.

Enter your phone number below and we will connect you for free.