Skip to main content
Home
Menu

Search Cooper


Popular Terms and Topics

  • Internal Medicine Residency
  • Surgical Critical Care Fellowship
  • Gastroenterology Fellowship
  • Neurology Residency
  • Cooper Research
Breadcrumb
Home  /   Med Ed Blogs
EM Daily

Antibiotic Use in Cirrhotic Patients with Upper GI Bleeds

November 04 2016
Antibiotic use in patients with upper GI bleeding and
EM Daily

The Basics of High Altitude Illness

November 03 2016
Photo Credit
EM Daily

The Basics of High Altitude Illness

November 03 2016
Photo Credit
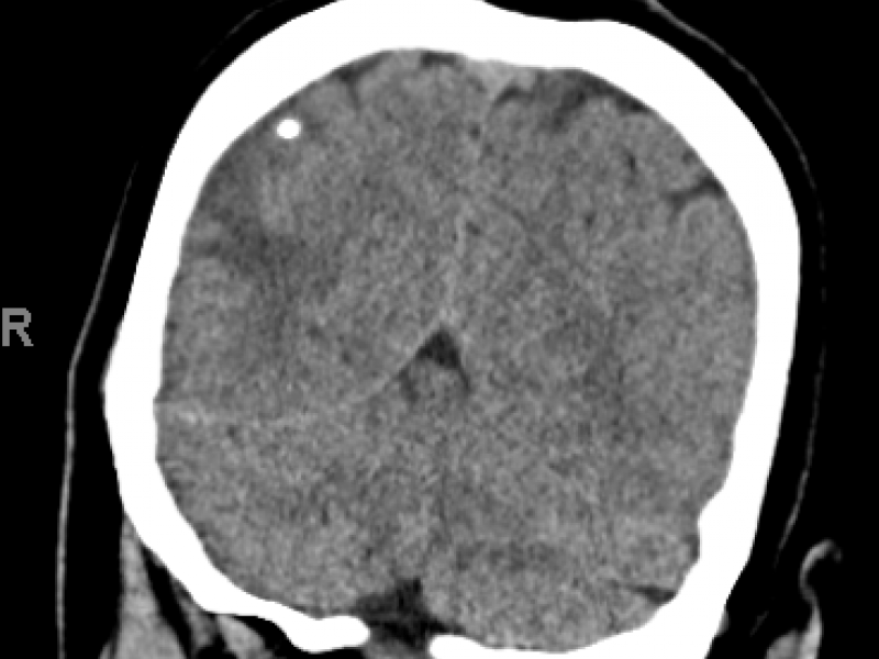
Imaging Case: Woman With Altered Mental Status
EM Daily

Imaging Case: Woman With Altered Mental Status

November 02 2016
Case: 55 year old female with unknown medical history
Imaging Case: Woman With Altered Mental Status
EM Daily

Imaging Case: Woman With Altered Mental Status

November 02 2016
Case: 55 year old female with unknown medical history
EM Daily

Excited Delirium Syndrome and Sudden Death

October 31 2016
Excited delirium syndrome is a pathophysiologic progression
EM Daily

Excited Delirium Syndrome and Sudden Death

October 31 2016
Excited delirium syndrome is a pathophysiologic progression
Connect the Docs

Hot Food for Cafe Excellence (Coffee Shop) 24/7

October 26 2016
We listen, implement and respond. Effective immediately, The
Connect the Docs

4th Quarter 2016 Cooper/CMSRU CME Events

October 25 2016
We are proud to begin quarterly postings of all CME events
Connect the Docs

Standard of the Month

October 13 2016
  • First page
  • Previous page
  • …
  • Page 305
  • Page 306
  • Current page 307
  • Page 308
  • Page 309
  • …
  • Next page
  • Last page
Blogs

Hospital Main Number

856.342.2000

Main Hospital Website

COOPERHEALTH.ORG

Cooper Health

Programs

  • Residencies
  • Fellowships
  • Nursing Education
  • Allied Health
  • CME
  • Life Support Training

More from Cooper

  • Research
  • Resident Wellness
  • Medical School
  • Our Campus
  • Main Hospital
  • Privacy Statement
  • FastCommand

1.800.8.COOPER (1.800.826.6737)

Contact Us

Cooper University Health Care's Main Website

This website is for informational purposes only and not intended as medical advice or a substitute for a consultation with a professional healthcare provider.

All content © 2022 Cooper University Health Care.

Menu
Education Home
Health System Home
Search

Main Navigation

  • RESIDENCIES
  • FELLOWSHIPS
  • NURSING AT COOPER
  • RESEARCH
  • INNOVATION CENTER

Tired of Typing? Let's Talk.

Call 1.800.8.COOPER to speak with a Cooper representative who can answer your questions, schedule appointments and register you for classes, events and support groups.

Representatives are available Monday through Friday from 8 a.m. - 5 p.m. to assist you.

Enter your phone number below and we will connect you for free.