Skip to main content
Home
Menu

Search Cooper


Popular Terms and Topics

  • Internal Medicine Residency
  • Surgical Critical Care Fellowship
  • Gastroenterology Fellowship
  • Neurology Residency
  • Cooper Research
Breadcrumb
Home  /   Med Ed Blogs
Connect the Docs

Green Team - Tip of the Week

March 16 2022
If you cut five servings a week of dairy, you can save 0.3
EM Daily

What's the Diagnosis? By Dr. Roger Rothenberg

March 16 2022
A 49 yo M presents to the ED c/o L knee pain after a slip
EM Daily

Board Review: Potpourri

March 11 2022
You're working in the ED on a warm spring day and a 22 year
End tidal CO2 Monitoring in the Emergency Department
EM Daily

End tidal CO2 Monitoring in the Emergency Department

March 10 2022
Connect the Docs

Green Team - Tip of the Week

March 09 2022
If you cut five servings a week of fats, oils, sugar, and
What's the diagnosis?  By Dr. Charlie Ingram
EM Daily

What's the diagnosis? By Dr. Charlie Ingram

March 09 2022
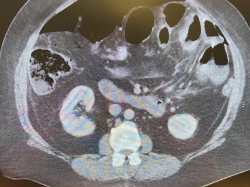
A 57 yo female with a history of chronic abdominal pain
Critical Cases - Back pain bounceback!
EM Daily

Critical Cases - Back pain bounceback!

March 08 2022
HPI 55 yo male p/w cc of constant anterior chest pain
EM Daily

Transient Globa Amnesia

March 07 2022
Transient Global Amnesia Dr. Greg McCormick Case Report: 61
Connect the Docs

National Hospitalist Day

March 03 2022
Today is the fourth annual National Hospitalist Day. This
Neck Trauma
EM Daily

Neck Trauma

March 03 2022
  • First page
  • Previous page
  • …
  • Page 40
  • Page 41
  • Current page 42
  • Page 43
  • Page 44
  • …
  • Next page
  • Last page
Blogs

Hospital Main Number

856.342.2000

Main Hospital Website

COOPERHEALTH.ORG

Cooper Health

Programs

  • Residencies
  • Fellowships
  • Nursing Education
  • Allied Health
  • CME
  • Life Support Training

More from Cooper

  • Research
  • Resident Wellness
  • Medical School
  • Our Campus
  • Main Hospital
  • Privacy Statement
  • FastCommand

1.800.8.COOPER (1.800.826.6737)

Contact Us

Cooper University Health Care's Main Website

This website is for informational purposes only and not intended as medical advice or a substitute for a consultation with a professional healthcare provider.

All content © 2022 Cooper University Health Care.

Menu
Education Home
Health System Home
Search

Main Navigation

  • RESIDENCIES
  • FELLOWSHIPS
  • NURSING AT COOPER
  • RESEARCH
  • INNOVATION CENTER

Tired of Typing? Let's Talk.

Call 1.800.8.COOPER to speak with a Cooper representative who can answer your questions, schedule appointments and register you for classes, events and support groups.

Representatives are available Monday through Friday from 8 a.m. - 5 p.m. to assist you.

Enter your phone number below and we will connect you for free.