Skip to main content
Home
Menu

Search Cooper


Popular Terms and Topics

  • Internal Medicine Residency
  • Surgical Critical Care Fellowship
  • Gastroenterology Fellowship
  • Neurology Residency
  • Cooper Research
Breadcrumb
Home  /   Med Ed Blogs
EM Daily

Critical Cases - Euglycemic DKA!

February 22 2022
History 45 year old man with a history of IDDM, ETOH use
EM Daily

Pressors, Part 5: Peripheral Administration?

February 21 2022
Peripheral pressors Are (mostly) safe! Norepinephrine
Connect the Docs

DEI Book Club 3/2 1:00pm

February 17 2022
The Immortal Life of Henrietta Lacks https://www.amazon.com
EM Daily

Critically Appraised Topic: Does ultrasound-guided nerve block or procedural sedation provide better pain control for shoulder reduction?

February 17 2022
Summary of methods: Study #1: This was a randomized
What's the Diagnosis? By Dr. Lynn Manganiello
EM Daily

What's the Diagnosis? By Dr. Lynn Manganiello

February 16 2022
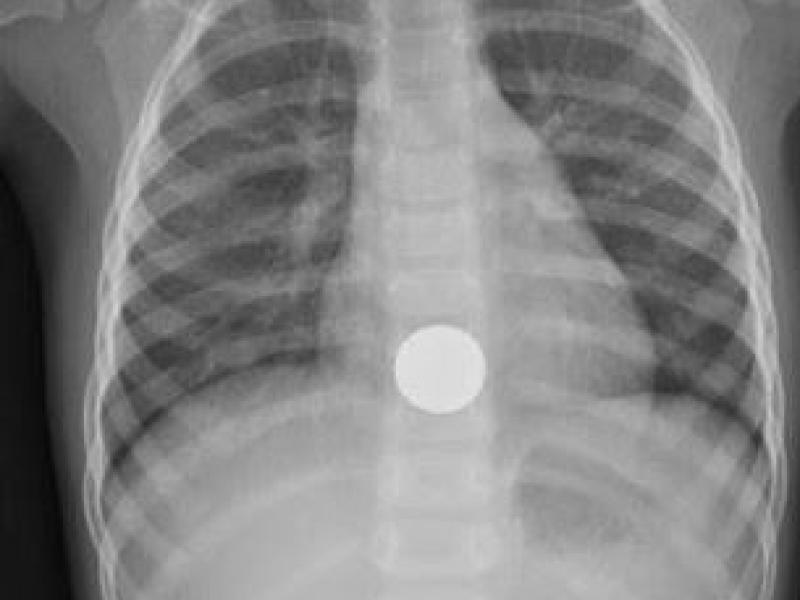
A 2 year old F presents to the ED with her parents with
Connect the Docs

Green Team - Tip of the Week

February 16 2022
If you cut five servings a week of processed meats and nuts
EM Daily

Critical Cases - Hypertensive Emergency!

February 15 2022
HPI 48 year old male with PMH HTN presents with blurry
New lactation pods
Connect the Docs

New lactation pods

February 14 2022
Cooper has partnered with Mamava, an expert in lactation
PRESSORS, Part 4: Phenylephrine
EM Daily

PRESSORS, Part 4: Phenylephrine

February 14 2022
About phenylephrine Mechanism of action: pure α1 agonism
EM Daily

Board Review: Potpourri

February 11 2022
A 21 year old female college student presents to the ED
  • First page
  • Previous page
  • …
  • Page 42
  • Page 43
  • Current page 44
  • Page 45
  • Page 46
  • …
  • Next page
  • Last page
Blogs

Hospital Main Number

856.342.2000

Main Hospital Website

COOPERHEALTH.ORG

Cooper Health

Programs

  • Residencies
  • Fellowships
  • Nursing Education
  • Allied Health
  • CME
  • Life Support Training

More from Cooper

  • Research
  • Resident Wellness
  • Medical School
  • Our Campus
  • Main Hospital
  • Privacy Statement
  • FastCommand

1.800.8.COOPER (1.800.826.6737)

Contact Us

Cooper University Health Care's Main Website

This website is for informational purposes only and not intended as medical advice or a substitute for a consultation with a professional healthcare provider.

All content © 2022 Cooper University Health Care.

Menu
Education Home
Health System Home
Search

Main Navigation

  • RESIDENCIES
  • FELLOWSHIPS
  • NURSING AT COOPER
  • RESEARCH
  • INNOVATION CENTER

Tired of Typing? Let's Talk.

Call 1.800.8.COOPER to speak with a Cooper representative who can answer your questions, schedule appointments and register you for classes, events and support groups.

Representatives are available Monday through Friday from 8 a.m. - 5 p.m. to assist you.

Enter your phone number below and we will connect you for free.