Skip to main content
Home
Menu

Search Cooper


Popular Terms and Topics

  • Internal Medicine Residency
  • Surgical Critical Care Fellowship
  • Gastroenterology Fellowship
  • Neurology Residency
  • Cooper Research
Breadcrumb
Home  /   Med Ed Blogs
Connect the Docs

Green Team - Tip of the Week

March 02 2022
If you cut five servings a week of poultry and eggs, you can
EM Daily

Critical Cases - Deadly Foot Pain?

March 01 2022
History 55 yo female with 2 day history of atraumatic R foot
Connect the Docs

Crisis in Ukraine

March 01 2022
The Russian invasion of Ukraine is quickly becoming a
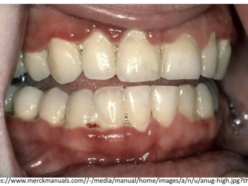
Back to Basics - Acute Necrotizing Ulcerative Gingivitis
EM Daily

Back to Basics - Acute Necrotizing Ulcerative Gingivitis

February 28 2022
Acute necrotizing ulcerative gingivitis Presentation
Board Review
EM Daily

Board Review

February 25 2022
An 11 year old boy with a past medical history of newly
Connect the Docs

Thank a Resident Day!

February 25 2022
Good morning! 2/25 is Thank a Resident Day! Created by the
Connect the Docs

New entrance for Med Staff Lounge

February 24 2022
As a first stage of our Med Staff updates, there has been a
Connect the Docs

Pulse mini-engagement survey

February 24 2022
Just a reminder that you may have received a mini-survey for
EM Daily

Critically Appraised Topic: Is a 5-day course of high-dose amoxicillin adequate for treatment of pediatric CAP:

February 24 2022
Summary Of Methods/Findings Study 1: This was a 2-center
Connect the Docs

Green Team - Tip of the Week

February 23 2022
The biggest lever to cut food emissions is to stop producing
  • First page
  • Previous page
  • …
  • Page 41
  • Page 42
  • Current page 43
  • Page 44
  • Page 45
  • …
  • Next page
  • Last page
Blogs

Hospital Main Number

856.342.2000

Main Hospital Website

COOPERHEALTH.ORG

Cooper Health

Programs

  • Residencies
  • Fellowships
  • Nursing Education
  • Allied Health
  • CME
  • Life Support Training

More from Cooper

  • Research
  • Resident Wellness
  • Medical School
  • Our Campus
  • Main Hospital
  • Privacy Statement
  • FastCommand

1.800.8.COOPER (1.800.826.6737)

Contact Us

Cooper University Health Care's Main Website

This website is for informational purposes only and not intended as medical advice or a substitute for a consultation with a professional healthcare provider.

All content © 2022 Cooper University Health Care.

Menu
Education Home
Health System Home
Search

Main Navigation

  • RESIDENCIES
  • FELLOWSHIPS
  • NURSING AT COOPER
  • RESEARCH
  • INNOVATION CENTER

Tired of Typing? Let's Talk.

Call 1.800.8.COOPER to speak with a Cooper representative who can answer your questions, schedule appointments and register you for classes, events and support groups.

Representatives are available Monday through Friday from 8 a.m. - 5 p.m. to assist you.

Enter your phone number below and we will connect you for free.