Skip to main content
Home
Menu

Search Cooper


Popular Terms and Topics

  • Internal Medicine Residency
  • Surgical Critical Care Fellowship
  • Gastroenterology Fellowship
  • Neurology Residency
  • Cooper Research
Breadcrumb
Home  /   Med Ed Blogs
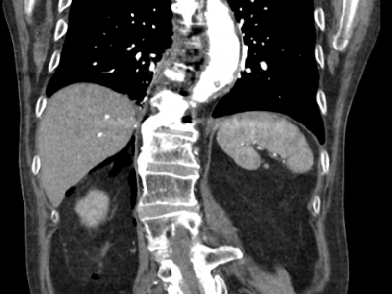
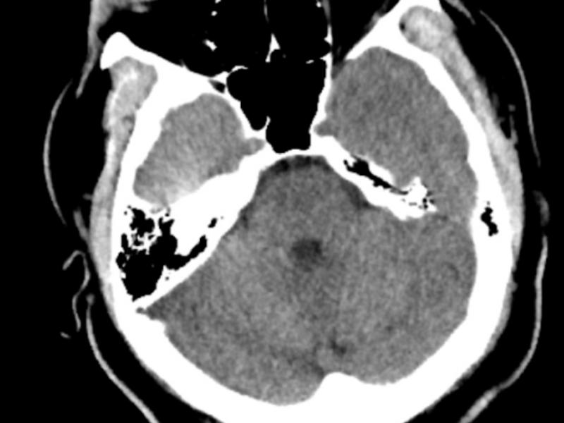
What's the diagnosis?  By Dr. Loran Hatch
EM Daily

What's the diagnosis? By Dr. Loran Hatch

July 14 2021
A 45 yo male was an unrestrained driver who rear-ended a
EM Daily

Critical Cases - Severely agitated DKA patient!

July 13 2021
CC = "whole body pain" HPI 23 yo male hx of IDDM presents
EM Daily

Bupropion Overdose

July 12 2021
Bupropion (Wellbutrin, Zyban, Aplenzin) Mechanism: Dopamine
Board Review: Potpourri
EM Daily

Board Review: Potpourri

July 10 2021
37 year-old male presents to the ED with four days of fevers
What's the Diagnosis? By Dr. Sarab Sodhi
EM Daily

What's the Diagnosis? By Dr. Sarab Sodhi

July 07 2021
A 70 yo M presents to the ED with back pain s/p fall one day
EM Daily

Interesting Cases: Aortoenteric fistula

July 06 2021
HPI 60 y.o. male with a PMH of PVD s/p aorto-bifemoral
EM Daily

Back to Basics: Alcoholic Hepatitis

July 05 2021
Alcoholic Hepatitis Management in the ED By: Valeria Chew
Connect the Docs

IMPORTATNT: Vasopressor Concentration Update

July 02 2021
There was previous approval to increase the standard
Coach and Cross-Check our new residents and fellows.
Connect the Docs

Coach and Cross-Check our new residents and fellows.

July 01 2021
With new residents and fellows starting in July, it is
Connect the Docs

Patient experience - Tip of the Month

July 01 2021
Introductions: Introduce yourself to the patient and those
  • First page
  • Previous page
  • …
  • Page 64
  • Page 65
  • Current page 66
  • Page 67
  • Page 68
  • …
  • Next page
  • Last page
Blogs

Hospital Main Number

856.342.2000

Main Hospital Website

COOPERHEALTH.ORG

Cooper Health

Programs

  • Residencies
  • Fellowships
  • Nursing Education
  • Allied Health
  • CME
  • Life Support Training

More from Cooper

  • Research
  • Resident Wellness
  • Medical School
  • Our Campus
  • Main Hospital
  • Privacy Statement
  • FastCommand

1.800.8.COOPER (1.800.826.6737)

Contact Us

Cooper University Health Care's Main Website

This website is for informational purposes only and not intended as medical advice or a substitute for a consultation with a professional healthcare provider.

All content © 2022 Cooper University Health Care.

Menu
Education Home
Health System Home
Search

Main Navigation

  • RESIDENCIES
  • FELLOWSHIPS
  • NURSING AT COOPER
  • RESEARCH
  • INNOVATION CENTER

Tired of Typing? Let's Talk.

Call 1.800.8.COOPER to speak with a Cooper representative who can answer your questions, schedule appointments and register you for classes, events and support groups.

Representatives are available Monday through Friday from 8 a.m. - 5 p.m. to assist you.

Enter your phone number below and we will connect you for free.