Skip to main content
Home
Menu

Search Cooper


Popular Terms and Topics

  • Internal Medicine Residency
  • Surgical Critical Care Fellowship
  • Gastroenterology Fellowship
  • Neurology Residency
  • Cooper Research
Breadcrumb
Home  /   Med Ed Blogs
What's the diagnosis?  By Dr. Sarab Sodhi
EM Daily

What's the diagnosis? By Dr. Sarab Sodhi

June 30 2021
A 45 yo male with past medical history of metastatic colon
Advanced Practice - Calcific Tendonitis Can Mimic Septic Arthritis!
EM Daily

Advanced Practice - Calcific Tendonitis Can Mimic Septic Arthritis!

June 29 2021
Arrow indicates calcium deposit on tendon Calcific
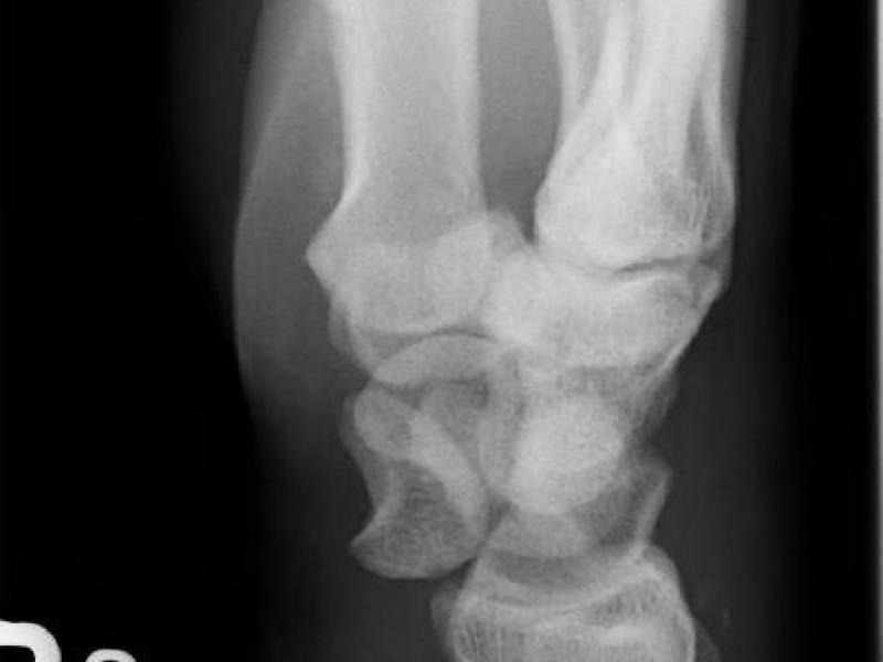
Back to Basics: Lunate vs Perilunate Dislocation
EM Daily

Back to Basics: Lunate vs Perilunate Dislocation

June 28 2021
Back to Basics: Lunate vs Perilunate Dislocation By: Angela
Board Review: Toxicology
EM Daily

Board Review: Toxicology

June 26 2021
An 85 year old man presents to your ED with lethargy and
What's the Diagnosis? By Dr. Angela Ugorets
EM Daily

What's the Diagnosis? By Dr. Angela Ugorets

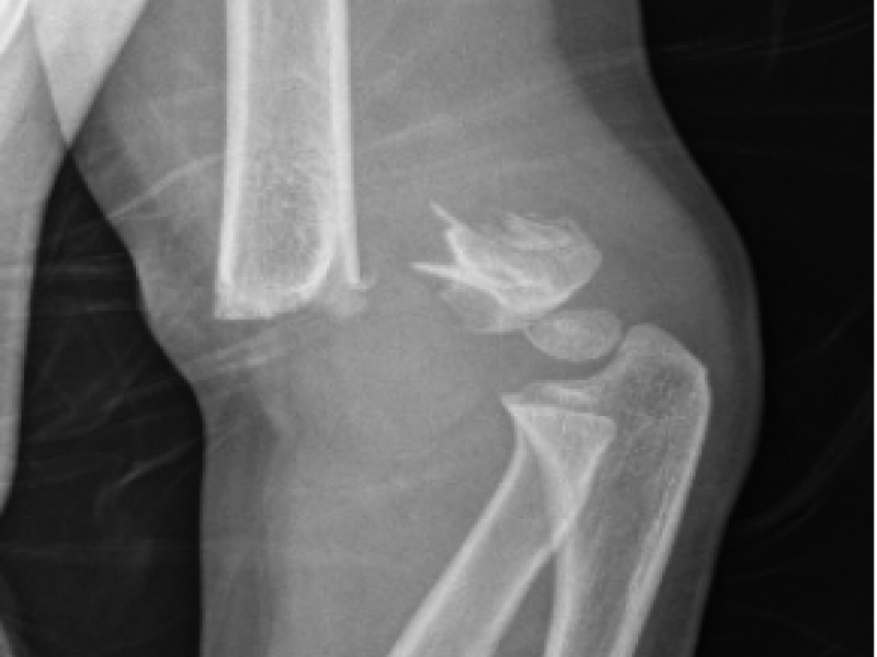
June 23 2021
A 5 y/o M presents to the ED w/ severe L arm pain following
EM Daily

Critical Cases - Alcohol Withdrawal Syndrome!

June 22 2021
History 54 year old male with history of alcohol use
EM Daily

Back to Basics: Syphilis

June 21 2021
Back to Basics: Syphilis By: Danielle Kovalsky, MD Primary
Board Review: Toxicology
EM Daily

Board Review: Toxicology

June 19 2021
A 55 year old farmer presents to the ED with disorientation
Connect the Docs

Juneteenth

June 18 2021
Tomorrow 6/19 is Juneteenth, also known as Freedom Day and
Can't Miss Heme-Onc Emergencies
EM Daily

Can't Miss Heme-Onc Emergencies

June 17 2021
  • First page
  • Previous page
  • …
  • Page 65
  • Page 66
  • Current page 67
  • Page 68
  • Page 69
  • …
  • Next page
  • Last page
Blogs

Hospital Main Number

856.342.2000

Main Hospital Website

COOPERHEALTH.ORG

Cooper Health

Programs

  • Residencies
  • Fellowships
  • Nursing Education
  • Allied Health
  • CME
  • Life Support Training

More from Cooper

  • Research
  • Resident Wellness
  • Medical School
  • Our Campus
  • Main Hospital
  • Privacy Statement
  • FastCommand

1.800.8.COOPER (1.800.826.6737)

Contact Us

Cooper University Health Care's Main Website

This website is for informational purposes only and not intended as medical advice or a substitute for a consultation with a professional healthcare provider.

All content © 2022 Cooper University Health Care.

Menu
Education Home
Health System Home
Search

Main Navigation

  • RESIDENCIES
  • FELLOWSHIPS
  • NURSING AT COOPER
  • RESEARCH
  • INNOVATION CENTER

Tired of Typing? Let's Talk.

Call 1.800.8.COOPER to speak with a Cooper representative who can answer your questions, schedule appointments and register you for classes, events and support groups.

Representatives are available Monday through Friday from 8 a.m. - 5 p.m. to assist you.

Enter your phone number below and we will connect you for free.