Skip to main content
Home
Menu

Search Cooper


Popular Terms and Topics

  • Internal Medicine Residency
  • Surgical Critical Care Fellowship
  • Gastroenterology Fellowship
  • Neurology Residency
  • Cooper Research
Breadcrumb
Home  /   Med Ed Blogs
Bone marrow drive tomorrow
Connect the Docs

Bone marrow drive tomorrow

June 16 2021
Tomorrow is an important opportunity to support those with
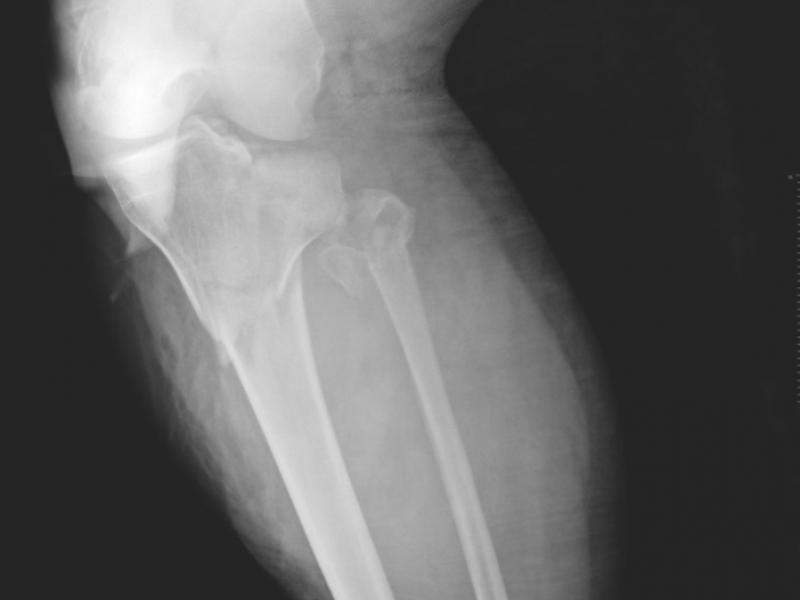
What's the diagnosis?  By Dr. Abby Renko
EM Daily

What's the diagnosis? By Dr. Abby Renko

June 16 2021
A 25 yo male presents with severe left leg pain after
Critical Cases - Concomitant Gout and Septic Arthritis!
EM Daily

Critical Cases - Concomitant Gout and Septic Arthritis!

June 15 2021
History 50 yo male with hx of gout on intermittent
Critical Cases - Concomitant Gout and Septic Arthritis!
EM Daily

Critical Cases - Concomitant Gout and Septic Arthritis!

June 15 2021
History 50 yo male with hx of gout on intermittent
EM Daily

Back to Basics: Arthritis

June 14 2021
Arthritis By, Courtney Martin PGY-2 There is a broad
EM Daily

Board Review: Toxicology

June 12 2021
A 40 year old male presents with nausea, vomiting, and
Pride Month
Connect the Docs

Pride Month

June 11 2021
We want to support all our wonderful and talented colleagues
Pediatric Status Asthmaticus
EM Daily

Pediatric Status Asthmaticus

June 10 2021
Critical Cases - Thyroid Myopathy!
EM Daily

Critical Cases - Thyroid Myopathy!

June 08 2021
History 36 yo obese male with no significant past medical
Back to Basics: Ankle Injury
EM Daily

Back to Basics: Ankle Injury

June 07 2021
Back to Basics: Ankle Injury By: Charlie Ingram CC: Ankle
  • First page
  • Previous page
  • …
  • Page 66
  • Page 67
  • Current page 68
  • Page 69
  • Page 70
  • …
  • Next page
  • Last page
Blogs

Hospital Main Number

856.342.2000

Main Hospital Website

COOPERHEALTH.ORG

Cooper Health

Programs

  • Residencies
  • Fellowships
  • Nursing Education
  • Allied Health
  • CME
  • Life Support Training

More from Cooper

  • Research
  • Resident Wellness
  • Medical School
  • Our Campus
  • Main Hospital
  • Privacy Statement
  • FastCommand

1.800.8.COOPER (1.800.826.6737)

Contact Us

Cooper University Health Care's Main Website

This website is for informational purposes only and not intended as medical advice or a substitute for a consultation with a professional healthcare provider.

All content © 2022 Cooper University Health Care.

Menu
Education Home
Health System Home
Search

Main Navigation

  • RESIDENCIES
  • FELLOWSHIPS
  • NURSING AT COOPER
  • RESEARCH
  • INNOVATION CENTER

Tired of Typing? Let's Talk.

Call 1.800.8.COOPER to speak with a Cooper representative who can answer your questions, schedule appointments and register you for classes, events and support groups.

Representatives are available Monday through Friday from 8 a.m. - 5 p.m. to assist you.

Enter your phone number below and we will connect you for free.