Skip to main content
Home
Menu

Search Cooper


Popular Terms and Topics

  • Internal Medicine Residency
  • Surgical Critical Care Fellowship
  • Gastroenterology Fellowship
  • Neurology Residency
  • Cooper Research
Breadcrumb
Home  /   Med Ed Blogs
EM Daily

Management Conference

December 04 2020
Case: 85 year old male found unresponsive and intubated in
Wellness Wednesday: Online Sessions From Carebridge
Life at the Coop

Wellness Wednesday: Online Sessions From Carebridge

December 02 2020
Dear colleagues, We hope everyone is safe and doing what you
Connect the Docs

Wellness resources

December 02 2020
We hope everyone is safe and doing what you can to take care
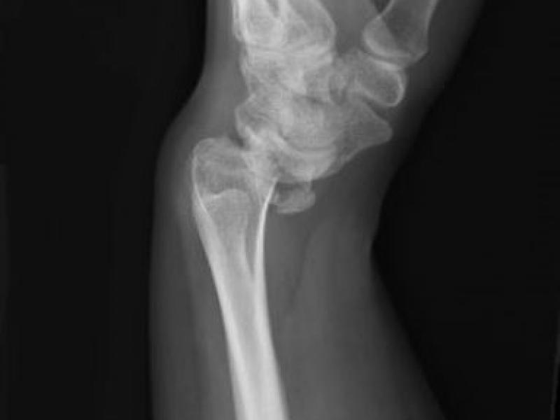
What's the Diagnosis? By Dr. Patrice Baptista
EM Daily

What's the Diagnosis? By Dr. Patrice Baptista

December 02 2020
29 y/o female presents to the ED w/ L wrist pain. She is s/p
EM Daily

Critical Cases - Phenytoin overdose!!!

December 01 2020
HPI 55 yo M presents 2.5 hrs s/p intentional ingestion of
EM Daily

A General Approach to Inborn Errors of Metabolism

November 30 2020
A General Approach to Inborn Errors of Metabolism Kate
Board Review: Internal Medicine
EM Daily

Board Review: Internal Medicine

November 28 2020
A 75 yo female with hypothyroidism presents to the ED with
Should remdesivir be utilized for severe COVID-19?
EM Daily

Should remdesivir be utilized for severe COVID-19?

November 27 2020
As the number of COVID-19 cases rises drastically and the
EM Daily

Why We Prone Patients

November 27 2020
You ever wonder why we prone patients with acute respiratory
Connect the Docs

Gratitude in the era of COVID-19

November 25 2020
Certainly this Thanksgiving will not be like others we have
  • First page
  • Previous page
  • …
  • Page 87
  • Page 88
  • Current page 89
  • Page 90
  • Page 91
  • …
  • Next page
  • Last page
Blogs

Hospital Main Number

856.342.2000

Main Hospital Website

COOPERHEALTH.ORG

Cooper Health

Programs

  • Residencies
  • Fellowships
  • Nursing Education
  • Allied Health
  • CME
  • Life Support Training

More from Cooper

  • Research
  • Resident Wellness
  • Medical School
  • Our Campus
  • Main Hospital
  • Privacy Statement
  • FastCommand

1.800.8.COOPER (1.800.826.6737)

Contact Us

Cooper University Health Care's Main Website

This website is for informational purposes only and not intended as medical advice or a substitute for a consultation with a professional healthcare provider.

All content © 2022 Cooper University Health Care.

Menu
Education Home
Health System Home
Search

Main Navigation

  • RESIDENCIES
  • FELLOWSHIPS
  • NURSING AT COOPER
  • RESEARCH
  • INNOVATION CENTER

Tired of Typing? Let's Talk.

Call 1.800.8.COOPER to speak with a Cooper representative who can answer your questions, schedule appointments and register you for classes, events and support groups.

Representatives are available Monday through Friday from 8 a.m. - 5 p.m. to assist you.

Enter your phone number below and we will connect you for free.