Skip to main content
Home
Menu

Search Cooper


Popular Terms and Topics

  • Internal Medicine Residency
  • Surgical Critical Care Fellowship
  • Gastroenterology Fellowship
  • Neurology Residency
  • Cooper Research
Breadcrumb
Home  /   Med Ed Blogs
Life at the Coop

Wellness Wednesday: Expressing Gratitude on Thanksgiving

November 25 2020
Dear colleagues, Certainly this Thanksgiving will not be
What's the diagnosis?  By Dr. Angela Ugorets
EM Daily

What's the diagnosis? By Dr. Angela Ugorets

November 25 2020
A 35 yo male presents with penile pain, blood at the meatus
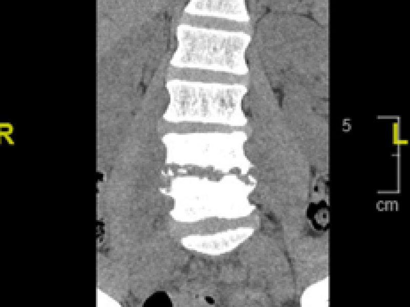
Critical Cases - Spine Emergency!
EM Daily

Critical Cases - Spine Emergency!

November 24 2020
History 53 year old male with a history of IVDU and 1.5
EM Daily

Back to the Basics: Emergency Spontaneous Vaginal Delivery

November 23 2020
Emergency Spontaneous Vaginal Delivery Christine Collins, MD
Board Review: Internal Medicine
EM Daily

Board Review: Internal Medicine

November 21 2020
A 5 year old boy presents to the ED with epistaxis in the
#EMConf: Tuberculosis
EM Daily

#EMConf: Tuberculosis

November 19 2020
General: TB throughout history was known as the "consumption
Wellness Wednesday: Gratitude
Life at the Coop

Wellness Wednesday: Gratitude

November 18 2020
Neural correlates of gratitude. Medial Prefrontal activity
New Process to Help Identify Patients with Known or Suspected Malignant Hyperthermia
Connect the Docs

New Process to Help Identify Patients with Known or Suspected Malignant Hyperthermia

November 17 2020
There is a new process to help identify patients with known
Critical Cases - Hypertensive Encephalopathy!
EM Daily

Critical Cases - Hypertensive Encephalopathy!

November 17 2020
History 73 yo M PMH HTN, prior posterior CVA with residual
Board Review: Internal Medicine
EM Daily

Board Review: Internal Medicine

November 14 2020
30 year old with past medical history of an ovarian cyst who
  • First page
  • Previous page
  • …
  • Page 88
  • Page 89
  • Current page 90
  • Page 91
  • Page 92
  • …
  • Next page
  • Last page
Blogs

Hospital Main Number

856.342.2000

Main Hospital Website

COOPERHEALTH.ORG

Cooper Health

Programs

  • Residencies
  • Fellowships
  • Nursing Education
  • Allied Health
  • CME
  • Life Support Training

More from Cooper

  • Research
  • Resident Wellness
  • Medical School
  • Our Campus
  • Main Hospital
  • Privacy Statement
  • FastCommand

1.800.8.COOPER (1.800.826.6737)

Contact Us

Cooper University Health Care's Main Website

This website is for informational purposes only and not intended as medical advice or a substitute for a consultation with a professional healthcare provider.

All content © 2022 Cooper University Health Care.

Menu
Education Home
Health System Home
Search

Main Navigation

  • RESIDENCIES
  • FELLOWSHIPS
  • NURSING AT COOPER
  • RESEARCH
  • INNOVATION CENTER

Tired of Typing? Let's Talk.

Call 1.800.8.COOPER to speak with a Cooper representative who can answer your questions, schedule appointments and register you for classes, events and support groups.

Representatives are available Monday through Friday from 8 a.m. - 5 p.m. to assist you.

Enter your phone number below and we will connect you for free.