Skip to main content
Home
Menu

Search Cooper


Popular Terms and Topics

  • Internal Medicine Residency
  • Surgical Critical Care Fellowship
  • Gastroenterology Fellowship
  • Neurology Residency
  • Cooper Research
Breadcrumb
Home  /   Med Ed Blogs
EM Daily

Disseminated Intravascular Coagulation

November 13 2020
Disseminated Intravascular Coagulation A patient is brought
Connect the Docs

Eliminating Styrofoam from cafeteria

November 12 2020
Cooper University Health Care has taken significant steps
Connect the Docs

Carebridge support sessions, including tonight

November 12 2020
As the COVID numbers creep up and the days get gradually
EM Daily

Critically Appraised Topic: Can Bedside US Accurately Diagnose Skull Fractures in Children Under 4 Years of Age?

November 12 2020
CAT Question: Can bedside US accurately diagnose skull
Life at the Coop

Resident Wellness: Resource For Support During the Holidays

November 11 2020
As the COVID numbers creep up and the days get gradually
What's the Diagnosis? By Dr. Eric Chavis
EM Daily

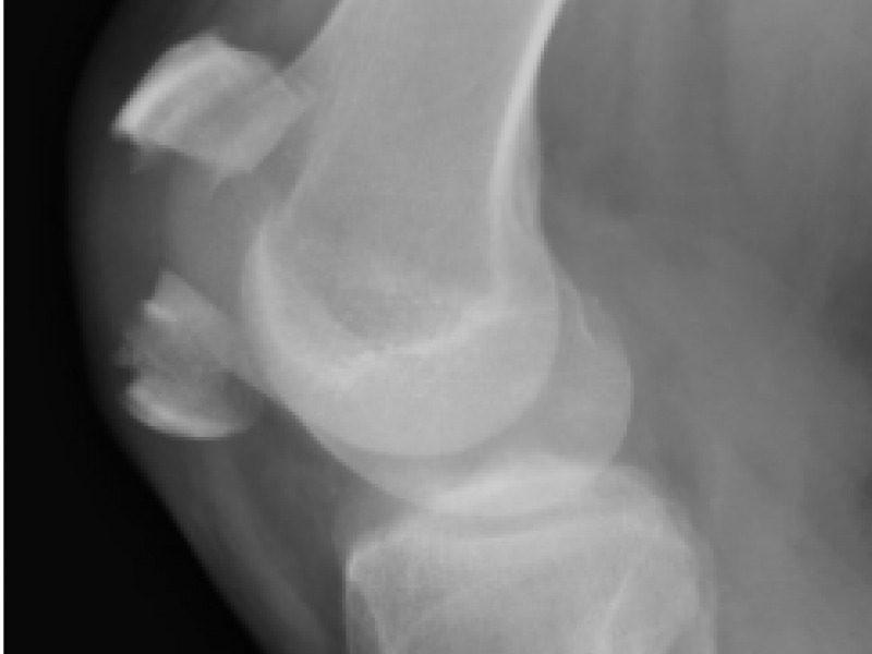
What's the Diagnosis? By Dr. Eric Chavis

November 11 2020
A 50 yo M with no PMHx presents to the ED with knee pain
Connect the Docs

Engagement Survey

November 10 2020
We wanted to personally thank all of our providers for
EM Daily

Critical Cases - Cor Pulmonale Emergency!

November 10 2020
HPI: 66 yo M with pmhx lifelong smoker, COPD ("baseline SpO2
Connect the Docs

Look to the stars from your desktop

November 09 2020
The news cycle and election coverage has been exhausting for
EM Daily

Board Review: Internal Medicine

November 07 2020
You're working in the ICU overnight and a patient is
  • First page
  • Previous page
  • …
  • Page 89
  • Page 90
  • Current page 91
  • Page 92
  • Page 93
  • …
  • Next page
  • Last page
Blogs

Hospital Main Number

856.342.2000

Main Hospital Website

COOPERHEALTH.ORG

Cooper Health

Programs

  • Residencies
  • Fellowships
  • Nursing Education
  • Allied Health
  • CME
  • Life Support Training

More from Cooper

  • Research
  • Resident Wellness
  • Medical School
  • Our Campus
  • Main Hospital
  • Privacy Statement
  • FastCommand

1.800.8.COOPER (1.800.826.6737)

Contact Us

Cooper University Health Care's Main Website

This website is for informational purposes only and not intended as medical advice or a substitute for a consultation with a professional healthcare provider.

All content © 2022 Cooper University Health Care.

Menu
Education Home
Health System Home
Search

Main Navigation

  • RESIDENCIES
  • FELLOWSHIPS
  • NURSING AT COOPER
  • RESEARCH
  • INNOVATION CENTER

Tired of Typing? Let's Talk.

Call 1.800.8.COOPER to speak with a Cooper representative who can answer your questions, schedule appointments and register you for classes, events and support groups.

Representatives are available Monday through Friday from 8 a.m. - 5 p.m. to assist you.

Enter your phone number below and we will connect you for free.