Skip to main content
Home
Menu

Search Cooper


Popular Terms and Topics

  • Internal Medicine Residency
  • Surgical Critical Care Fellowship
  • Gastroenterology Fellowship
  • Neurology Residency
  • Cooper Research
Breadcrumb
Home  /   Med Ed Blogs
EM Daily

A Week in Review: Nov 7th-Nov 12th

November 13 2016
Use the anterior drawer test to assess for a torn ATFL. Use
Orthopedic Injuries Around the NFL: Derek Newton's Bilateral Patella Tendons Rupture
EM Daily

Orthopedic Injuries Around the NFL: Derek Newton's Bilateral Patella Tendons Rupture

November 12 2016
In Week 8 of this NFL season, Houston Texans offensive
Orthopedic Injuries Around the NFL: Derek Newton's Bilateral Patella Tendons Rupture
EM Daily

Orthopedic Injuries Around the NFL: Derek Newton's Bilateral Patella Tendons Rupture

November 12 2016
In Week 8 of this NFL season, Houston Texans offensive
A Tale of Baclofen Toxicity
EM Daily

A Tale of Baclofen Toxicity

November 11 2016
Picture Credit
A Tale of Baclofen Toxicity
EM Daily

A Tale of Baclofen Toxicity

November 11 2016
Picture Credit
EM Daily

#EMConf: Pearls from Conference Day

November 10 2016
Pancreatitis: The pancreas is a retroperitoneal organ so
EM Daily

#EMConf: Pearls from Conference Day

November 10 2016
Pancreatitis: The pancreas is a retroperitoneal organ so
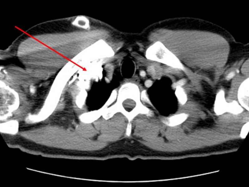
IV Placement to Increase or Decrease Diagnostic Yield of CT Angiography in Penetrating Neck Trauma
EM Daily

IV Placement to Increase or Decrease Diagnostic Yield of CT Angiography in Penetrating Neck Trauma

November 09 2016
Penetrating neck trauma is a serious cause of morbidity and
EM Daily

IV Placement to Increase or Decrease Diagnostic Yield of CT Angiography in Penetrating Neck Trauma

November 09 2016
Penetrating neck trauma is a serious cause of morbidity and
EM Daily

Orthopedic Injuries Around the NFL: Dez Bryant 's Tibial Plateau Fracture

November 08 2016
In Week 3 of this NFL season, Dallas Cowboys wide receiver
  • First page
  • Previous page
  • …
  • Page 303
  • Page 304
  • Current page 305
  • Page 306
  • Page 307
  • …
  • Next page
  • Last page
Blogs

Hospital Main Number

856.342.2000

Main Hospital Website

COOPERHEALTH.ORG

Cooper Health

Programs

  • Residencies
  • Fellowships
  • Nursing Education
  • Allied Health
  • CME
  • Life Support Training

More from Cooper

  • Research
  • Resident Wellness
  • Medical School
  • Our Campus
  • Main Hospital
  • Privacy Statement
  • FastCommand

1.800.8.COOPER (1.800.826.6737)

Contact Us

Cooper University Health Care's Main Website

This website is for informational purposes only and not intended as medical advice or a substitute for a consultation with a professional healthcare provider.

All content © 2022 Cooper University Health Care.

Menu
Education Home
Health System Home
Search

Main Navigation

  • RESIDENCIES
  • FELLOWSHIPS
  • NURSING AT COOPER
  • RESEARCH
  • INNOVATION CENTER

Tired of Typing? Let's Talk.

Call 1.800.8.COOPER to speak with a Cooper representative who can answer your questions, schedule appointments and register you for classes, events and support groups.

Representatives are available Monday through Friday from 8 a.m. - 5 p.m. to assist you.

Enter your phone number below and we will connect you for free.